撰文 苏澄宇
2019 年 6 月,在第一次月球登陆50周年纪念日之际,哈里森 · 施密特在苏黎世的 Starmus 太空节发出了警告,许多人可能会对月球表面的尘埃过敏……

前美国宇航员在瑞士苏黎世的新闻发布会上发表讲话,左一哈里森 · 施密特
他说这些并不是瞎吹的,因为他真实经历过了这一切。
1972 年 12 月,在阿波罗计划取消之前,哈里森 · 施密特是唯一一位登月的科学家,参加了阿波罗计划的最后一次登月之旅。

哈里森 · 施密特
作为一名训练有素的地质学家,施密特花费数小时在宁静海附近的利特罗山谷周围搜集尘埃,并从月球表面采集岩石样本。

1972年,正在月球采集月球尘埃的施密特,他的鞋子上沾满了灰尘。
但当他返回着陆仓时,意外发生了。
附着在宇航服表面的尘埃跟着施密特到了舱内,在脱下厚重的宇航服后,施密特的鼻腔吸入了来自月球的尘埃,有一股废弃的火药味。

阿波罗17号收集到的月尘
“我第一次吸入月球尘埃时,马上有了过敏反应,鼻子立马肿了起来,说话的声音都不对劲了。后面慢慢缓解了,到第四次再吸入尘埃时,就没感觉了。”施密特在太空节上说道,“对于一些人来说,如果他们长期暴露在月球尘埃中,我们需要弄清楚他们是否也会过敏。”
不只是施密特对月球尘埃过敏,另一位飞行外科医生在协助回到地面的施密特卸下宇航服时,同样也出现了严重的过敏,甚至不得不停下手头的工作。
说到这,你也许会想不就是尘埃吗?有什么好奇怪的,地球上的尘埃和月球的尘埃不都一样吗?

月尘微粒并不是球形的,而是尖锐的。
不,确实不太一样,而且月球尘埃危险得多。
阿姆斯特朗是登月第一人,在离开登月舱的最初几分钟里,就向休斯顿报告了他对月球尘埃的看法:“月球表面呈细粉状。我可以用脚将它们踢起。它们像是木炭粉,我鞋底和鞋边都粘着一层层粉末。我只踏进几毫米,也许是3毫米,但我能看到踩在细沙颗粒上的脚印。”由此可见,月尘覆盖了整个月球表面,完全避不开。

重要的是,月球尘埃是微小陨石撞击的残留物,由于没有空气或水的侵蚀,所以每一粒尘都保持锐利的边角,看起来就像碎玻璃。

NASA制造的月球尘埃模拟物显微镜视图
同时月球尘埃也具有很强的研磨性,以至于在宇航员返回地球时,美国宇航局的专家们发现施密特靴子上的三层类似于凯夫拉纤维的材料已经被磨穿了。
另外,月球没有大气层,尘埃完全暴露在宇宙辐射中,这种辐射给带有少量铁元素的带来了电荷,使得灰尘变得特别粘,可以紧贴物体表面,聚集在宇航服的褶皱中,有可能会堵塞甚至损害设备。
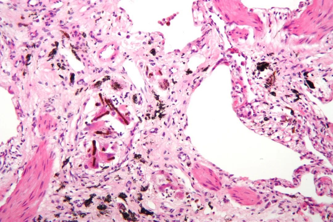
经过科学家对月球尘埃的研究,发现月球尘埃类似于地球上的硅尘。你应该听说过一种叫硅肺病的职业病。类似的,科学家也担心月球尘埃会给宇航员造成相似的威胁。

硅肺病患者肺部组织染色后的图像,黑色颗粒是杂质
当大量的沙尘被吸入人体时,它们会嵌入肺部的微小泡囊中,然后被肺内的巨噬细胞所吞噬。但沙尘不能被巨噬细胞所自行分解,导致巨噬细胞死亡,释放所吞噬的粉尘,然后恶性循环,造成更多细胞受损,造成肺机能的障碍。这是一种治不了的病,只能通过洗肺来缓和症状,延长一下寿命。
因为施密特并没有大量吸入月球尘埃,只稍微接触了一些,所以只是过敏而已,并没有造成大碍。假如人类有天殖民了月球,在月球上长期生活工作,那就会长期接触月球尘埃,出现肺尘病的概率就会大大增加。而且问题只会更严重,因为前面说了月球尘埃比地球尘埃更尖锐,可以更深地穿透肺部。

月球尘埃三维图
月球尘埃的威胁如此之大,科学家一直在研究对抗月尘的办法。电子束清洗是其中一种办法。特殊的装置会射出电子束撞击尘埃,尘埃表面就会聚集负电荷,当尘埃之间聚集了足够多的电荷,它们就可能相互推开,由此击飞宇航服上的月球尘埃。

位于加州大学博尔德分校的真空室
在真空实验室中,电子束清理设备外的尘埃只需要几分钟时间,但也并不完美,平均只能清理表面75-85%的尘埃。
将来如果有天这种清理月尘的方法得以实用,也许以后宇航员在月球上完成一天的工作后,入舱之前先进入一个清洗室,在那里有设备射下电子束对宇航服进行全面清洗。