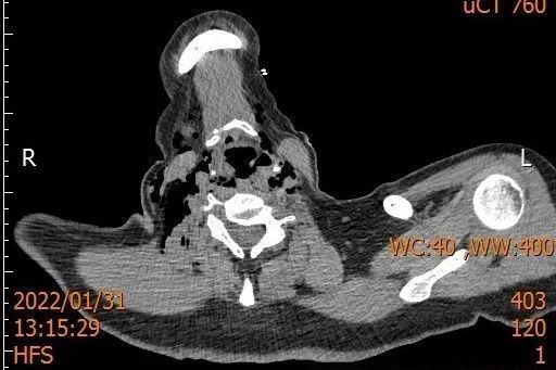
1月31日是中国的传统节日除夕,普陀区的孙女士为了晚上的年夜饭而忙碌着,可是她没有料想到一场意外悄然而至。为了打开一瓶自酿的米酒她想了各种办法,最后准备用嘴把瓶盖咬开,这时意外发生了,瓶子在她的嘴里炸开,巨大的气流把她的咽喉炸伤,顿时她感觉无法讲话和呼吸,鲜血从嘴里涌了出来。家人赶忙叫救护车把她送到医院。正在耳鼻咽喉头颈外科值班的张晓林医生和赵玉敏医生接到抢救室的电话后,第一时间来到病人床边为病人进行检查,查体后见患者咽喉活动性出血,软腭及双侧扁桃体上级可及裂伤,颈部可扪及捻发音,判断患者可能有皮下气肿,行喉部CT检查,报告提示:咽旁,颈部及纵隔,右上胸壁积气,舌骨体右侧骨折。患者的病情远比表面看到的复杂,需立即手术!


张医生告知患者家属患者病情危急可能有呼吸困难的危险,且咽喉有活动性出血需要立即到手术室进行清创缝合,进行了一些必要的术前准备后患者被送到了手术室,麻醉科马海月和奚丰医师迅速为患者进行全麻,很好地保障了手术的进行,张晓林医生和刘双喜医生为患者进行气管切开术+咽喉清创缝合修复术,术中发现患者软腭,咽喉,舌下,咽后壁,梨状窝及披裂黏膜均有裂伤,两位医生在鼻内窥镜下反复冲洗检查伤口,用低温等离子刀头进行充分的止血,并缝合伤口,检查无出血后,放置胃管。患者术后到SICU进行进一步的治疗及观察。经过SICU医生和护士的治疗和精心护理,并反复请胸心外科及消化内科评估后,患者转回耳鼻咽喉头颈外科病房治疗,经过电子喉镜检查发现伤口愈合,拔除胃管,近日封管后患者无呼吸困难,拔除气管套管,顺利出院。
咽喉外伤是耳鼻咽喉头颈外科的常见病,用口咬开酒瓶虽然很酷,但巨大的气体冲击力能够引起严重的咽喉爆炸伤,其威力巨大,甚至可引起骨折,危及生命。因此,养成良好的生活习惯,避免用口咬开酒瓶,以防造成伤害。
专家提醒
在我们日常生活中,可能会因为各种各样的原因造成咽喉外伤。同济大学附属同济医院耳鼻咽喉头颈外科医生建议:外伤后如有异物,应尽量先清理异物,保持呼吸道通畅,如有活动性出血,可用冰水含漱,以利于止血,切勿将血液咽下,同时尽快到耳鼻咽喉头颈外科就诊,完善咽喉部CT,电子喉镜等检查来评估病情及治疗。
耳鼻咽喉头颈外科

同济大学附属同济医院耳鼻咽喉头颈外科是医院重点学科,住院医师规范化培训基地,同济大学博士研究生学位授予点、博士后流动站,具有国家药物临床试验资质的专业科室。科室目前是国家耳鼻咽喉疾病临床医学研究中心网络成员单位,长三角过敏疾病防治联盟常委单位,上海市耳鼻咽喉疾病临床医学研究中心核心单位,上海市卫生健康委先进适宜技术推广项目"过敏性鼻炎特异性免疫治疗的推广应用及规范化管理"中心单位。团队目前承担国家自然科学基金面上项目、上海市耳鼻咽喉疾病临床医学研究中心项目、促进市级医院临床技能与临床创新三年行动计划重大临床研究项目、上海市卫生健康委先进适宜技术推广项目、上海申康医学发展中心临床科技创新项目等10余项。各级学术期刊发表论文30余篇,其中包括SCI收录的期刊30余篇,各项专利近20项。
图文 | 耳鼻咽喉头颈外科
编辑 | 宣传处