@各位职场爸妈,
晚上回家辅导孩子作业,
是否也是你每天
最头疼、最耗心力的事?

近日,
广东一位妈妈在辅导孩子写作业时,
因情绪过于激动
突然剧烈头痛、视物模糊,
诱发脑瘤相关急症,
相关话题登上微博热搜↓


近日,广东林女士开始出现反复头痛头晕的情况,在门诊简单处理后有所缓解,她便没放在心上。
直到一天晚上,她在辅导孩子作业时越催越急、情绪骤然激动,头部瞬间传来剧烈胀痛,紧接着眼前发黑,双眼迅速模糊,几乎看不清任何东西。家人见状惊慌失措,立即将她送往当地医院。

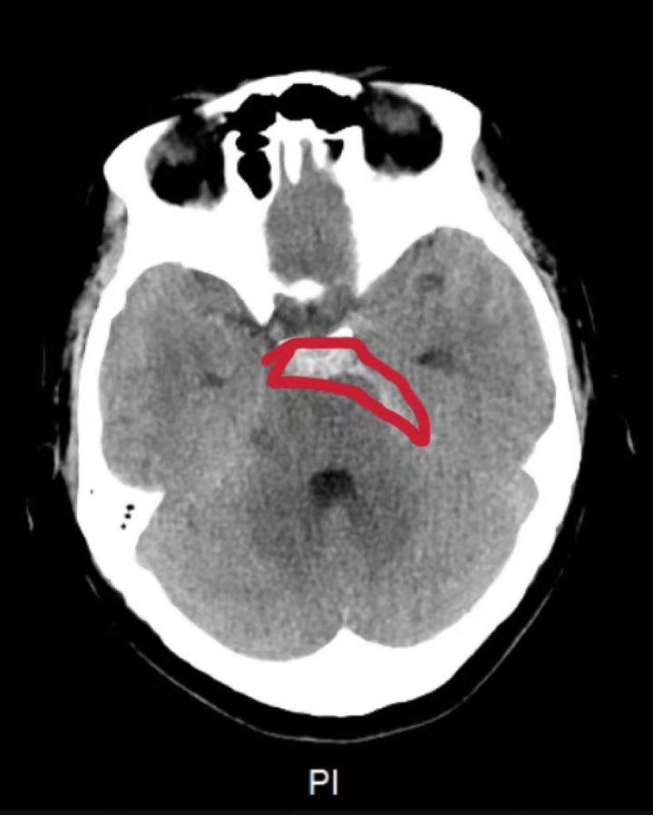
医生接诊时,林女士的情况已不容乐观,头痛反复发作,伴有呕吐,逐渐陷入嗜睡状态。检查后发现其颅内长有异常占位,且已发生出血,同时右侧脑部积水呈进行性加重趋势,必须立即进行医疗干预。医生果断决定,为林女士实施急诊手术,切除颅内的异常占位。
医生介绍,林女士所患的是一种特殊的脑血管病——脑动脉瘤破裂引发颅脑出血疾病,该病起病急骤,往往快速恶化达峰,不给病患和家属反应时间,其高致残率及高致死性结局往往给病患及其家属带来严重的伤害。
一般情况下,破裂的因素与动脉瘤体内的压力有关,在特殊情景下,如情绪紧张、生气、激烈运动等生理刺激下,容易引起脑动脉瘤破裂。
术后,林女士的意识逐渐恢复清醒,四肢也能够按照医嘱完成活动,10天后顺利康复出院。经过此事,她表示以后一定要多关心自己的身体,再也不因为“鸡娃”把自己累垮。

■河南郑州一位41岁宝妈,在辅导小孩课业时反复教导无效,情绪难以自控,激动大声训斥孩童后突然头疼随之昏迷,经诊断小脑出血,接受手术后遗留肢体瘫痪需持续的康复锻炼。
■2018年,武汉一位42岁妈妈经常辅导孩子写作业,结果气出急性前壁心肌梗死,险丧命。

■2021年9月,湖南岳阳一位爸爸在辅导女儿作业时,情绪激动被气到下巴脱臼。

■2024年, 上海徐女士因辅导暑期作业与孩子发生争执,随即出现胸闷、呼吸困难、四肢麻木、肌肉僵直、手指呈爪形等症状,被家人送往南翔医院急诊救治。经诊断,徐女士为“过度通气综合征”,俗称“呼吸性碱中毒”。
更多内容,戳此了解→

■2024年,40岁出头的教师董女士下班后回家辅导自己孩子作业,情绪上头,突然感觉头痛欲裂,还直犯恶心,在卫生间干呕了一阵。但休息了一晚情况仍未好转,做了头部CT,结果是脑出血。
更多内容,戳此了解→

在辅导孩子写作业时,请记住:
保持冷静和耐心,
做情绪的主人!
因为健康才是最重要的。

设立情绪“暂停”
家长可以尝试和孩子约定用某个动作来给即将爆发的情绪按下“暂停键”,给予缓冲的空间。
合理表达情绪
建议采用“描述事实+表达感受+提出建议”的步骤。
描述事实:尽可能客观地陈述自己看到的现象,避免加入过多的主观评价或指责。
表达感受:家长应该尽可能地表达自己的感受和情绪,但要避免使用攻击性或负面评价性的言语。
提出建议:家长需要提供具体的建议和解决方案,而不是命令或威胁孩子。

适当换位思考
不妨多站在孩子的角度去看待问题,思考解决问题的方式。
在此提醒广大职场爸妈
不必焦虑“鸡娃”
情绪切勿上头
别让一时怒火
毁了一生平安

申工社综合整理自央广网、广州广播电视台等
本期编辑:凌睿
转载需注明出处