
近日,同济大学附属同济医院消化内科接诊了一位病情极为特殊的患者。该患者全身所有内脏器官位置与正常人完全左右相反,是医学上罕见的完全性内脏器官翻转,俗称 “镜面人”。更危急的是,患者同时被确诊胰腺肿瘤伴梗阻性黄疸,胆道受压堵塞,生命健康受到严重威胁。
面对这一罕见又高危的病例,同济医院内镜诊治中心熊光苏团队凭借丰富的内镜经验、周密的术前预案和精湛的操作技术,成功为患者实施ERCP(经内镜逆行性胰胆管造影术)+ 胆道支架引流术,在 “镜像解剖” 中精准疏通胆道、解除黄疸,用微创技术为患者打通生命通道,助其顺利康复。
特殊病情:百万分之一 “镜面人” 遇上胰腺肿瘤
“镜面人” 是一种发生率仅约百万分之一的先天性解剖变异,心脏、肝脏、胰腺、脾脏、胆道等全部脏器左右反转,如同生活在 “镜像世界”。
当这种罕见结构遇上胰腺肿瘤,肿瘤极易压迫胆总管,导致胆汁无法排出,迅速引发梗阻性黄疸、肝功能受损、皮肤瘙痒、食欲极差等症状,若不及时疏通胆道,可能进一步引发胆管炎、肝功能衰竭等严重后果。
对医生而言,所有熟悉的解剖标志、操作路径、进镜角度全都左右颠倒,相当于在 “反向迷宫” 里完成高精度内镜操作,手术难度和风险成倍增加。

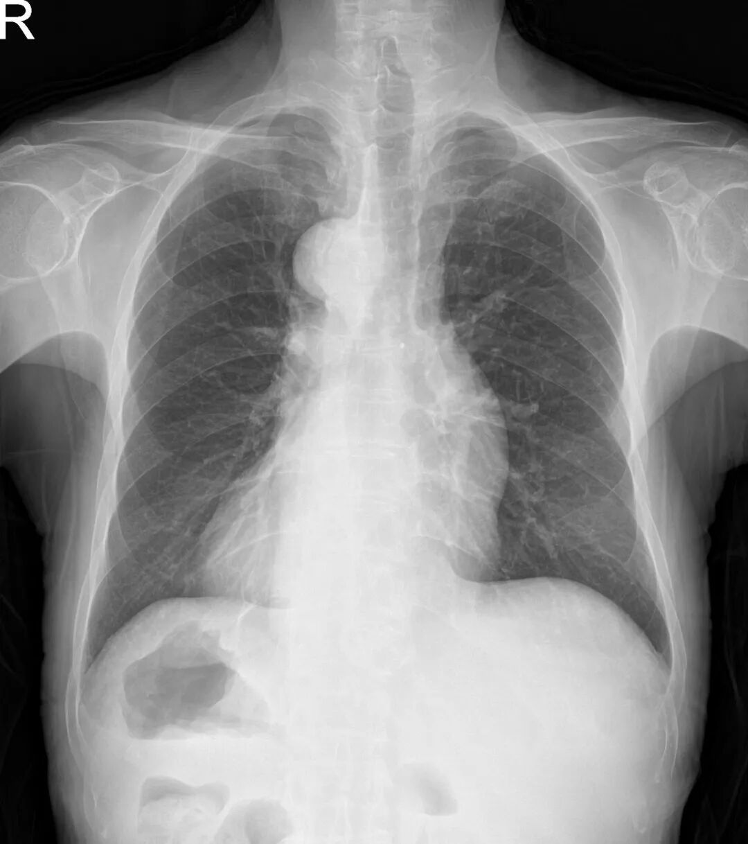
术前影像学提示内脏全反位
多学科协作:量身定制 “镜像手术” 方案
团队高度重视这一罕见病例,立即启动多学科会诊,消化内科、麻醉科、医学影像科等专家共同参与评估。医学影像科专家仔细分析患者特殊的解剖结构,明确胰腺肿瘤位置及胆道受压情况;麻醉科全面评估患者身体状况,确保内镜手术安全实施;消化内科团队反复模拟手术路径,针对 “镜面人” 特点,制定了逆向操作、精准定位、微创引流的 ERCP 个体化手术方案,同时做好各类并发症应急预案。

熊光苏主任医师ERCP团队术前讨论
勇闯难关:逆向操作,内镜下精准 “拆梗阻”
熊光苏主任医师形象地比喻道:“这就像一个习惯右手操作的人,必须瞬间切换成左手,而且要做到分毫不差。常规 ERCP 的进镜角度、乳头位置、插管方向,在这位患者身上完全相反,医生必须打破多年形成的操作习惯和肌肉记忆,全程在脑海中完成镜像翻转。”
术中,在内镜下仔细辨认反转后的十二指肠乳头,精准插管、造影,明确胆道狭窄段后,顺利置入胆道支架,成功打通堵塞的胆道,让淤积的胆汁顺畅排出。整个手术过程微创、无痛、无切口,操作精准流畅,团队默契配合,成功规避了出血、穿孔、胰腺炎等风险,手术顺利完成。

康复出院:微创护佑生命,彰显同济担当
术后,在医护团队的精心照料下,患者黄疸迅速消退,皮肤瘙痒、腹胀、食欲差等症状明显改善,肝功能逐步恢复正常,未出现任何并发症,恢复速度远超预期,不久便顺利康复出院。出院时,患者及家属激动地向医护人员连连致谢。
此次为罕见 “镜面人” 胰腺肿瘤患者成功实施 ERCP 胆道引流术,不仅体现了消化内科在复杂内镜、疑难胆道疾病、罕见病例诊疗方面的过硬实力,更展现了医院生命至上、精益求精、勇于挑战的医者担当。
未来,消化内科内镜诊治中心将继续以精湛技术守护百姓健康,不断攻克疑难重症,为更多患者带来希望与福音。
图文 | 内镜诊治中心
编辑 | 张鹰妮
责任编辑 | 谢壮丽



