心脏中的主动脉瓣如同一扇“单向门”。心脏收缩时,它会打开,将血液泵往全身;心脏舒张时,它则需严密闭合,防止血液反流回心脏。一旦这道“门”闭合不严,就会引发“主动脉瓣反流”。患者在病情初期,可能只在活动后出现气短、乏力的症状;但随着病情逐渐进展,心脏负担会持续加重,最终可能发展到心力衰竭的危险阶段。
对于严重的反流治疗,瓣膜修复或置换需精准权衡时机,且本身风险较高。其中,能最大保留自身瓣膜功能的修复术,因技术门槛极高,目前仅全球少数大型心脏中心可常规开展。
10月20日,全球关注的中国微创心血管外科学术盛会——CMCWeek2025 & ISMICS2025 Workshop迎来直播首日。复旦大学附属中山医院心脏外科王春生教授团队,通过一台“胸骨上段小切口主动脉瓣成形术”,成为直播环节的重要临床实践展示,并在直播期间顺利完成3例同类手术。术后监测显示,所有患者均未出现主动脉瓣反流,手术效果符合预期。此次实践不仅是该团队在主动脉瓣反流微创治疗领域的临床经验分享,更再次彰显了中山医院心脏外科在瓣膜修复领域的世界领先地位。

图:术中照片,主刀王春生教授(右)与第一助手李军教授(左)
直播涉及的3位患者情况各具代表性:
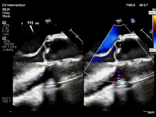
病例1:28岁男士9年前发现心脏杂音,近一年一活动就气短,已经影响正常生活,检查显示其主动脉瓣关闭严重异常且为特殊二叶式主动脉瓣,作为年轻患者,他的核心诉求是规避终身抗凝与二次手术风险,保障长期生活质量。

视频1:病例1术前食道超声示重度主动脉瓣反流

视频2:病例1术后心超示主动脉瓣无反流
病例2:51岁男士两周前体检偶然发现有二叶式主动脉瓣且反流严重,虽无明显不适,但检查显示左心室已明显扩大,达到手术指征,他更在意手术伤口小、术后恢复快,尽量不影响正常工作与家庭生活。

视频3:病例2术前心超提示大量主动脉瓣反流

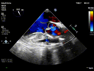
视频4:病例2术后无反流
病例3:31岁男士自幼知晓自身患有二叶式主动脉瓣,近年来反流问题逐年加重至重度,近一年活动后也出现气短症状。由于平时热爱运动且处于事业上升期,他希望通过保留自身瓣膜的手术,在治愈疾病的同时,最大程度维持生活质量。

视频5:病例3术前大量主动脉瓣反流

视频6:病例3术后未见反流
王春生教授表示,对瓣膜病患者而言,保留自身瓣膜意义重大。相较于瓣膜置换术,瓣膜修复手术拥有三大显著优势:一是能避免置换机械瓣后需长期服用抗凝药的出血风险,减少术后并发症;二是可规避生物瓣因寿命有限而需多次手术的问题,降低患者长期治疗负担;三是能最大程度保护心脏原有结构与功能,为患者未来的运动、生育等长远生活需求提供关键保障。正因如此,瓣膜修复术已成为目前临床针对年轻瓣膜病患者的更优治疗选择。
此次完成的3台高难度手术,面临的挑战主要集中在三个方面:一是“微创操作难”,手术仅通过胸骨上段一处约6.5厘米的小切口进行,医生需在极其有限的空间内完成精细操作;二是“根部重建难”,需运用独创的根部重建技术重塑主动脉“地基”,从结构上根治反流;三是“瓣叶修复难”,医生要在毫米级的薄软瓣叶上完成削薄、修补与形态重塑,任何一针的精度都至关重要。正是通过在这三项关键技术上的协同突破,才最终实现了在微创条件下完成高难度修复。
自2015年起,王春生教授团队便专注于主动脉瓣成形术创新研究,累计完成该类手术近2000例,近2年二叶式主动脉瓣(BAV)修复病例占比超80%,技术水平持续迭代升级。其临床成果获国际高度认可,多次在ISMICS、AATS等国际顶级心血管外科会议上演示瓣膜修复手术,成为全球同行借鉴的“中国模板”。针对年轻瓣膜病患者“保留瓣膜、长远获益”的核心需求,团队还优化了手术流程,将平均手术时间缩短至2.5小时,术后平均住院日降至4.5天,为年轻患者提供了“高效、安全、微创”的治疗方案。
展望未来,王春生教授团队将继续以技术创新为核心驱动力,不断突破微创心血管外科领域的技术瓶颈,为更多主动脉瓣反流患者守护“心”希望,同时也将积极推动全球心血管微创外科技术向更高水平发展,为世界心血管医学进步贡献中国力量。
点击“阅读原文” 复旦大学附属中山医院肝癌研究重大成果再次登顶《柳叶刀》