我的位置: 上观号 > 健康上海12320 > 文章详情

薪火相传 “施氏伤科”特色非遗专科——静安区江宁路街道社区卫生服务中心 | 社区特色门诊专栏

转自:健康上海12320 2025-09-25 10:09:48

健康上海,你我同行。为更好展现社区优质医疗资源,鼓励与促进全市社区医疗服务工作,开设“社区特色门诊”栏目,陆续介绍社区特色、优势门诊,让广大市民拥有更多健康获得感与幸福感。

薪火相传 “施氏伤科”特色非遗专科介绍

“施氏伤科”历经八代传承,传承人遍布国内外,是上海伤科八大家之一。其独特的理、法、方、药体系,以内治法与外治法相结合,针对骨折、脱位、软组织损伤等骨伤科疾病疗效显著。

“施氏伤科”在江宁路街道社区卫生服务中心传承已有整整64年。2025年5月,中心进行静安区非物质文化遗产“施氏伤科”揭牌仪式。2016年,上海市总工会与《新闻坊》联合调查社区医院能人巧匠12家,位列专科专病的第一位。“施氏伤科”的理、法、方、药传承创新,效如桴鼓,口碑极好。

在这里,施氏伤科的专家团队以精湛的医术和丰富的临床经验,为无数患者解除了病痛。以第七代传承人朱元培医生为代表的医疗团队,不仅在传统施氏伤科技法上有着深厚的造诣,更不断融合现代医学理念,为患者提供更加全面、个性化的治疗方案。

特色适宜技术
01
骨科夹板法

骨折复位手法与骨折三期外敷膏药、固定夹板(特色随人应制)技术。骨折愈合快,功能恢复早,免除手术二次创伤。

肱骨大结节骨折-夹板外固定

02
"施氏伤科"膏药

调制型(软膏型)

1)消肿类:消肿膏,甲方

2)活血类:吊伤散,乙方,活血丹

3)舒筋通络类(接骨类):接骨散

4)清热解毒(消炎):金黄如意散

粉剂类:外用熏洗:利节散

硬膏类:温经通络、散寒止痛:宿伤膏(需加热使用)

03
传统理筋手法

施氏伤科特色理筋正骨手法,以三步九式为主旨,其意为:急性期三步:轻手法松解→痛点分筋→循经点穴;慢性期九法,包括拔伸、旋转、顶推、扳拉等复合手法,针对复杂筋骨问题。

04
内治法

施维智先生著有《伤科传薪录》,“施氏伤科”家传针对外伤、骨折、脱位等急性病症有三大治法与相应的处方。针对眩晕,妊娠外伤,坐痹、胸肋内伤、中少腹损伤均有特定的治疗方药。对常见腰痛、颈椎病及各类骨关节疾病均有家传处方。

经典案例

“肋骨骨折”一例

患者,男,73岁,2022年9月22日首诊。

主诉:左中下肋被汽车撞伤,胸胁疼痛,呼吸引痛4小时。

现病史:患者当日不慎被汽车撞伤左侧肋骨处,神清,来我院针伤科就诊,求予传统保守疗法。

查体:左胸3-8肋压痛明显,左肩胛部压痛,胸廓挤压实验±。

刻下:神清气平,意识清,判断力良好,左胸胁疼痛,纳可,二便调,夜寐不安。

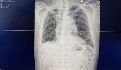
辅助检查:肋骨X片示:左侧第5、6后肋骨皮质不连续,肺野清晰,肋膈角锐利。

诊断:(左)肋骨骨折

治疗:

1.“中医施氏伤科特色夹板固定疗法”:外敷乙方,小夹板约10cm*12cm大小,夹板固定于5-6肋骨折区域,纱布环胸廓固定,五日换药一次。注意避免剧烈运动和撞击。

2.汤药内服:活血化瘀,消肿行滞,于复方当归活血汤加减,重用行瘀消肿药,辅以行气止痛。

二诊:2022年10月20日复诊

主诉:陈旧性左侧肋骨骨折1月,复诊复片。查体:左胸肋骨5-8肋骨区压痛+。胸廓挤压实验-。

辅助检查:肋骨X片示:左胸肋5、6肋骨骨痂大部形成。

治疗:

1.敷贴外用:外敷改用接骨散,去小夹板,两日换药一次,共六次。

2.汤药内服:合营接骨法。

3.宣教:注意避免剧烈运动和撞击。

讨论:

肋骨骨折是指由于直接或间接的暴力外伤,导致肋骨的完整性和连续性中断的胸部损伤。老年人发病率较高。疼痛是典型症状,且随咳嗽,深呼吸或身体转动等而加重,若胸膜穿破则会出现气胸、血胸等,伴不同程度的呼吸困难(应及早进行胸腔闭式引流,改善呼吸功能)。受伤的胸壁局部有时肿胀,按之有压痛。用手挤压前后胸部,局部疼痛加重甚至产生骨摩擦音,即可判断肋骨骨折,影像学检查有助于确诊。多根多处肋骨骨折后,局部胸壁失去了完整肋骨的支撑而软化,出现反常呼吸运动,即吸气时软化区的胸壁内陷;呼气时软化区的胸壁向外鼓出,这类胸廓又称连枷胸,应及时气管插管进行机械通气。一般情况下,肋骨骨折具有自我愈合能力,如果单纯出现了骨裂,骨折错位不明显,没有对周围的软组织尤其是肺造成损伤,通过保守治疗如卧床休息、补液、镇痛、绑胸带临时固定,一般可以自愈。

但是,如果骨折了好几根,已经完全错位的、多发的肋骨骨折是不能够自愈的,因为完全错位的肋骨骨折其断端是无法相对生长的,放任不管只会更加严重,需要手术治疗。肋骨骨折通过保守或手术治疗可以治愈,通常在2-3个月可以愈合。

本患者肋骨骨折对线对位良好,无气胸、血胸,无反常呼吸,适合保守疗法,根据施氏伤科传人朱元培医生判断,本患者适用于敷贴配合夹板固定法。予“乙方”行气止痛,消瘀续骨法。患者自述,敷贴后第二日胸胁疼痛明显缓解。待1月左右骨痂大部形成,宜合营接骨法,外用以接骨散为主,后续注意休息即可。45天左右患者可基本痊愈,如此大大缩短了患者卧床保守疗法的时间,减轻痛苦以及日常生活不便。

团队建设

多年来,“施氏伤科”扎根在静安这片土地上,逐渐形成了独属于自己的鲜明特色,科室团队在传统治疗的基础上引入推拿、声光电物理治疗、关节穿刺技术、小针刀等治疗方法,并采用施氏膏药敷贴,传承创新,提高疗效,拓宽疾病种类,让这项百年技艺继续传承发扬光大。

学科带头人

朱元培,1956年出生,于1977年进入江宁社区卫生服务中心伤科工作,师承费志杰老师,承上启下,擅长早期骨折保守治疗、骨折术后骨不愈内外结合治疗等,行医40余年至今。

门诊时间:周一、周三、周五

门诊地点:淮安路736号4楼中医针推伤3诊室

徐啸林,主治医师,毕业于上海中医药大学,师从朱元培医生,施氏伤科传人。擅长运用针刺、正骨手法和中药治疗颈腰椎退行性疾病、颈性眩晕、软组织损伤等;运用穴位注射、关节腔注射治疗肩关节周围炎、膝骨关节炎、腱鞘炎等;运用中医药疗法治疗骨折、脱位等创伤性疾病。

门诊时间:周一至周五

门诊地点:淮安路736号4楼中医针推伤1诊室

窦轶敏,主治医师,毕业于北京中医药大学,师从朱元培医生,施氏伤科传人。擅长颈肩腰腿膝及肢体各部位的急慢性疼痛的诊疗,手法针对小关节紊乱的调整有显著疗效,集内外急慢伤诸科方、技于一体。

门诊时间:周一至周五

门诊地点:淮安路736号4楼中医针推伤4诊室

徐燕,主治医师,毕业于澳门科技大学,师从朱元培医生,施氏伤科传人,并师承上海市名中医沈国权教授。擅长运用中医传统如针灸、中药、整脊推拿手法治疗各种常见颈肩腰腿痛、骨关节疾病、头痛眩晕、中风、失眠、耳鸣、急慢性胃肠疾病、单纯性肥胖、月经不调等慢性疾病。

门诊时间:周一至周五

门诊地点:淮安路736号4楼中医针推伤2诊室

宋立新,主治医师,毕业于上海中医药大学,师从朱元培医生,施氏伤科传人,并师承上海市名中医李璟教授。擅长运用针灸、针药结合治疗膝骨关节炎、颈椎腰椎病、慢性胃炎、失眠、哮喘等多种损伤及慢性疾病。

门诊时间:周一至周五

门诊地点:武定路600弄6号楼104室(武定坊站点)中医诊室

张安冬,主治医师,毕业于上海中医药大学,师从朱元培医生,施氏伤科传人,并师承上海市名中医陈跃来教授。擅长运用针药结合治疗常见伤科诸症,及泌尿生殖系统疾病、亚健康、失眠、湿疹等。

门诊时间:周六上午

门诊地点:淮安路736号4楼亚健康专病诊室

更多阅读

尿频尿急四针安——共和新路街道社区卫生服务中心尿频尿急综合征专病门诊 | 社区特色门诊专栏

分层干预,身心同治——虹口区北外滩街道社区卫生服务中心肺癌(术后)专病门诊 | 社区特色门诊专栏

投稿提示

欢迎本市卫生健康工作者投稿,相关科普文章与视频等经所在科主任审阅后,投稿至单位宣传部门,经宣传部门提交“健康上海12320”。