我的位置: 上观号 > 同济大学附属同济医院 > 文章详情

【病案现场】绝境逆袭!多种方法联合治疗助力胃癌腹膜转移患者重获新生

转自:同济大学附属同济医院 2025-09-23 17:32:02

前言

胃癌腹膜转移被视为晚期胃癌治疗的“生死关卡”,在传统治疗模式下,患者的中位生存期往往不足6个月。腹腔热灌注化疗(HIPEC)通过热疗与化疗的协同作用,为控制腹腔内肿瘤播散开辟了新的治疗途径。本例中,一位44岁男性患者被确诊为胃癌伴广泛腹膜转移(PCI>20),初期已丧失手术机会。然而,通过HIPEC与全身系统治疗的联合应用,成功实现了肿瘤降期,最终得以完成根治性手术,并获得长期生存。现将完整的诊疗时间线呈现如下,旨在为高负荷腹膜转移患者提供一种全新的治疗思路。

病例回顾与诊疗经过

患者概况

性别:男性;年龄:44岁(2021年12月确诊)

主诉:中上腹隐痛3月。

关键诊断:

2021-12-09胃镜确诊胃窦低分化腺癌。

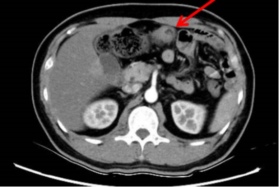
2021-12-14上腹部增强CT示:胃体、胃窦部浸润型胃癌侵犯浆膜面伴周围小网膜囊及大网膜区淋巴结转移。

术前评估后诊断分期:cT4N2M0,建议新辅助化疗,患者拒绝先化疗,要求直接手术。

第一阶段:HIPEC控制腹腔播散(2021年12月)

2021-12-17

根据患者意愿,直接手术,首先腹腔镜探查腹腔:见腹膜、盆腔、肠系膜多发种植结节(0.5-1.0cm),腹水(+),PCI>20,术中诊断胃癌伴腹膜转移,失去根治手术机会。

术中操作:腹膜结节活检+大网膜部分切除+置入4根HIPEC灌注管

·

术后病理提示:腹膜结节病理示:转移性腺癌,中等分化。 大网膜转移性腺癌。

2021-12-18起:

HIPEC方案:雷替曲塞4mg + 紫杉醇270mg,连续3次腹腔内灌注

不良反应:灌注后出现腹胀、灼热感、呕吐(对症处理后缓解)

术后管理:对症治疗,尽早恢复肠内营养

2021-12-24拔管出院

第二阶段:系统治疗(2022年1月-10月)

2022-01-192022-05-18

化疗方案:白蛋白紫杉醇400mg d1 + 奥沙利铂200mg d1 + 替吉奥60mg bid d1-14(q3w×6周期)

疗效评估:

2022-07至2022-10:

化疗方案:替吉奥60mg bid d1-14(q3w×4周期)

系统治疗后评估肿瘤退缩明显,经我院胃肠肿瘤MDT讨论并与患者及家属沟通后认为治疗有效,目前具备手术切除条件,拟再次手术治疗。

第三阶段:根治手术(2022年10月)

2022-10-27腹腔镜下胃癌根治术(毕-II)+腹膜活检+横结肠系膜活检术。

术中腹腔镜探查:腹腔内无腹水,盆腔及腹膜脏器表面未见种植结节,原盆腔及腹膜上转移灶消失,局部纤维化改变,横结肠系膜局部挛缩,考虑为原转移灶纤维化改变,肝胆胰脾未见异常。胃窦体处大弯侧后壁可触及一大小约4cm×3cm×3cm肿块,浆膜面可见局部质硬改变,胃大小弯未见见明显肿大淋巴结,大网膜上未见明显转移灶,原横结肠系膜及小肠系膜上成瘢痕样改变。

·
·

术后病理:肿瘤退缩分级:0级,完全退缩,无肿瘤细胞残留。

淋巴结转移情况:总数:(0/20) 无转移。

2022-12-2术后评估):

肿瘤指标:CEA 1.38ng/mL, Ca199 9.26U/ml,Ca724 2.21U/ml。

CT示:1、胃术后改变,小网膜囊淋巴结显示。2、肝右叶血管瘤可能。3、右肾小囊肿。4、部分小肠腔内积液。

长期随访与新发挑战(2024年10月)

术后患者每三个月随访复查一次,均未发现复发及转移情况,恢复正常生活。

2024-10-10随访出现新发情况:肠镜发现横结肠腺癌(4cm×3cm)

·

进一步完善腹部增强CT提示横结肠病灶,肝肺均未提示转移。

2024-10-22腹腔镜扩大右半结肠癌根治术。

术后病理:腺癌,结合免疫组化及病史倾向胃腺癌浸润/转移,脉管内癌栓:(+);神经侵犯:(+);淋巴结转移情况 :总数:(0/13)无转移。 

2025-01-13起:xelox方案辅助化疗(2025-01-13开始至2025-06-09,共8次)

2025-05-12:复查无复发转移。

病例小结

本例高负荷腹膜转移胃癌患者(PCI>20)的成功治疗,核心在于分阶段策略与HIPEC的关键作用:

  1. HIPEC快速控制腹腔播散:三次热灌注清除游离癌细胞,逆转腹膜转移病理活性(术中见转移灶纤维化);

  2. 转化治疗创造手术机会:系统治疗使肿瘤降期,实现CCR 0根治切除;

  3. 营养支持保障治疗耐受:早期肠内营养(术后第1天启动)显著减少化疗中断风险;

  4. 全程管理应对新发肿瘤:随访中发现异时性单发转移,通过再次微创手术+辅助化疗再获根治。

  5. 生存突破:从腹膜转移(PCI>20)到无瘤生存,跨越晚期胃癌生存极限。

HIPEC在腹膜转移胃癌中的三重价值:

  1. 降期转化:高温(43℃)增强紫杉醇渗透性,清除腹腔游离癌细胞,为后续根治手术创造条件;

  2. 预防复发:机械冲刷作用减少"失巢凋亡"肿瘤细胞残留;

  3. 协同增效:与系统化疗形成"局部+全身"双重打击,本例PFS超45个月验证其有效性。

专 家 名 片

徐 楷

胃肠外科

副主任医师

专家门诊:周一上午

  • 中国医师协会肛肠医师分会微创与内镜学组委员兼秘书

  • 中国医疗保健国际交流促进会结直肠病学分会委员

  • 上海市医师协会普外科医师分会胃肠外科工作组委员

  • 上海市医学会普外科专科分会结直肠肛门外科学组委员

  • 上海市肿瘤防治联盟结直肠癌专业委员会 委员

  • 上海中西医结合学会外科专业委员会委员

  • 中国NOSES联盟上海分会委员

  • 上海市抗癌协会胃肠肿瘤腹腔镜专委会经肛腔镜外科学组成员

获上海医学科技奖三等奖一项,参与国家级及上海市级自然基金多项;在国内外期刊发表论文20余篇,其中SCI论文10余篇。主译及参译专著各一本,获得专利4项。荣获同济大学青年教师讲课比赛三等奖,荣获同济大学医学院青年教师讲课比赛特等奖,荣获同济医院青年教师讲课比赛第一名,荣获同济医院“十佳教师”称号。

擅长胃、结直肠肿瘤的微创外科治疗(直肠癌低位保肛和功能保护、无辅助切口NOSES手术)及术后辅助治疗;熟练掌握结肠镜检查及内镜下各项治疗技术、小肛肠疾病(痔、瘘、裂)以及普外科常见病和多发病(如胆囊、疝、阑尾)的诊治。在消化道疾病的诊断和外科治疗方面积累了丰富的经验。

网上预约挂号

图文|普通外科

编辑|张鹰妮

责任编辑|谢壮丽