

腰椎间盘突出
腰椎峡部裂
两大腰椎疾患同时出现在一个病人身上

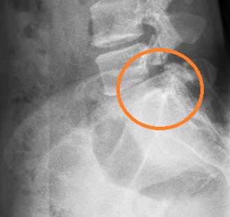
杨女士,30 岁,因长期久坐且健身方式不当(频繁进行硬拉锻炼),两年前开始出现腰痛和左腿痛。当时于我院脊柱外科蒋帅副主任医师处就诊,诊断为“腰椎间盘突出症、腰5峡部裂”,症状较轻,采取保守治疗后有所好转,但腰痛仍时有反复且逐渐加重。上个月劳累后,左腿出现放射状疼痛,输液治疗后虽有缓解,但左腿麻木严重。再次就诊后,腰椎磁共振显示椎间盘脱出并向下游离,CT显示L5椎弓根峡部断裂,X片提示腰椎不稳,经详细检查,确诊为:L4/5 巨大腰椎间盘脱出和L5 双侧腰椎峡部裂。



这两种疾病同时存在,使她的腰痛和腿痛症状雪上加霜,患者L4/5巨大的腰椎间盘脱出严重压迫了神经根,需手术干预,否则神经受压时间过长会造成更严重的神经损伤。患者腰椎峡部裂导致腰椎不稳,腰5/骶1的椎间盘变性,腰痛逐年加重,也需手术处理,否则病情会逐渐加重。

一次麻醉
解决两大问题
为减少手术创伤、加速康复,脊柱外科团队决定采用微创技术组合,在一次手术中同时解决两大问题,即 UBE(单侧双通道内镜)减压术联合内镜下微创峡部裂修补 + 经皮椎弓根螺钉内固定术 。

首先,蒋帅通过两个约 1cm 左右的小切口建立内镜观察和操作通道,利用UBE技术精准摘除 L4/5 脱出的椎间盘,解除神经压迫。紧接着,在内镜辅助下,对峡部裂断端进行打磨后,植入骨块并固定,修补峡部裂;然后在C臂机引导下经皮置入螺钉,稳定断裂的峡部;



UBE手术创伤小、出血少,能有效避免对周围组织的广泛破坏,为后续恢复打下良好基础。而后医生在内镜下操作,精准清除峡部裂缝间瘢痕组织,精确处理硬化骨质,更加微创且精准;避免传统开放手术的大切口,减少肌肉剥离,降低术后疼痛。
微创术后
快速康复
术后1天:杨女士下肢疼痛明显缓解,可在腰围保护下下床活动。同时康复科医生和治疗师开始指导渐进式康复训练。
术后3天:复查腰椎CT+MRI显示神经压迫完全解除,内固定位置良好,腰痛和腿痛较术前明显好转。

术后5天:出院回家,继续进行居家康复训练。
专家提醒
早期症状需重视
高危人群:腰椎间盘突出常见于久坐、缺乏锻炼或长期腰部负荷过重的人群;没有明显外伤造成的腰椎峡部裂,多是因为峡部本身发育存在不足,如果有轻微腰部外伤、或者腰部大负荷的锻炼,会出现峡部断裂。硬拉、负重深蹲等健身动作,会让腰椎承受很大的负荷,不适合腰部有问题的人群。
早期重视:出现反复腰痛、腿痛、腿麻等早期症状时,应尽早就医,避免神经不可逆损伤。
微创优势:现代脊柱微创技术可大幅减少手术创伤,加速康复,为患者提供了更优质、高效的治疗选择。
专家简介

蒋帅
脊柱外科博士,副主任医师
留美访问学者,曾赴美国著名的Rothman骨科研究所学习,师从国内外著名脊柱外科专家袁文教授、 Albert教授 及Voccaro教授。从事脊柱外科工作20余年,国内最早一批开展脊柱微创手术治疗的医生之一,包括内镜下神经根型颈椎病神经根减压术、内镜下颈椎管狭窄椎管减压术、内镜下胸椎管狭窄椎管减压术、内镜下多节段腰椎融合术、内镜下多节段腰椎管狭窄椎管减压术,并成熟开展脊柱畸形矫形手术、脊柱肿瘤切除重建内固定术等。担任上海市康复医学会脊柱脊髓专委会脊柱微创学组委员,上海市康复医学会脊柱脊髓专委会青年学组委员等。
专家门诊:周一上午,周六上午
供稿:刘晓明、方 丹
审核:蒋 帅
校审:戴 云
预约就诊请关注公众号:
(配图源自网络,如有侵权请通知删除)
欢迎关注同仁医院官方微信服务