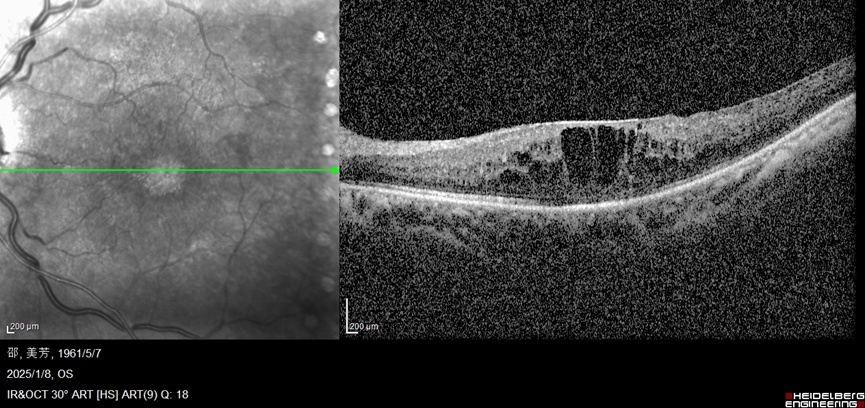
病例夹 邵阿姨(化名)因糖尿病视网膜病变曾在外院接受全视网膜光凝治疗,后因黄斑水肿在2024年一年内接受7次眼内抗VEGF药物注射。然而今年1月,她的视力再次下降,听闻奉城医院眼科有上海眼病防治中心的专家坐诊,便慕名而来。 经过专家陆士恒主任详细检查,发现其目前眼底病情为“黄斑水肿合并黄斑前膜”。 “黄斑前膜就像一层‘疤痕膜’,拉扯黄斑区导致水肿反复,单纯抗VEGF治疗难以根治。”陆主任向邵阿姨解释道。经团队深入讨论,决定为邵阿姨实施“玻璃体切割术+黄斑前膜剥除术+地塞米松缓释剂植入”联合手术,精准解决多重病理问题。 术后三个月,邵阿姨黄斑水肿完全消退且未复发,视力较术前显著提升,生活质量明显改善。 技术创新 三管齐下,破解治疗难题 微创玻璃体切割术: 彻底清除玻璃体腔异常牵拉,为后续操作创造清晰视野; 黄斑前膜精细剥除: 在高倍显微镜下剥离增生膜,解除黄斑机械性牵拉; 地塞米松缓释剂植入: 长效抑制炎症反应,持续缓解水肿复发风险。 邵阿姨这次手术的成功开展,也标志着奉城医院眼科在复杂眼底病综合治疗领域迈上新台阶。 专家介绍 Introduce 陆士恒 主任医师 上海市眼病防治中心 专家门诊 每周三上午 特长: 上海市眼病防治中心知名专家,具有丰富的白内障、眼底病诊断治疗经验,擅长玻璃体视网膜手术,如视网膜脱离、糖尿病性玻璃体视网膜病变、黄斑前膜等眼底疾病的微创手术;疑难复杂白内障的手术、白内障合并眼底病的联合手术;各种泪道疾病治疗。 专家提醒 糖尿病患者应每年至少进行一次眼底检查,若出现视物变形、眼前黑影、视力骤降等症状需立即就诊。对于顽固性黄斑水肿合并前膜的患者,及时手术干预是挽救视力的关键。 奉城医院眼科 守护光明,我们始终在精进 奉城医院眼科秉承“精准、微创、长效”的治疗理念,持续引进国际前沿技术,致力于为复杂眼底病患者提供更优质的治疗方案。如果您或家人正受眼底疾病困扰,欢迎去奉城医院眼科门诊咨询。 奉城医院眼科就诊信息 Ophthalmology Consultation Information 门诊时间: 全年无休, 8:00-11:30, 13:00-16:30 咨询电话:021-57522565-8140 地址:奉贤区川南奉公路9983号1号楼4楼



