64岁的李先生近期活动后频繁气喘,在市区医院被诊断为二尖瓣重度反流。随后他多次往返就医,期间气喘情况开始逐渐加重,陆续出现了胃口差、没力气、恶心、双下肢水肿等症状。
近日,李先生因病情加重,急忙来到家附近的奉贤区中心医院心内科就诊,检查结果令人揪心:李先生已出现严重的肝衰竭、肾衰竭、心功能不全(多脏器功能衰竭),被紧急收住入院。经过心内科细心个体化的药物治疗,李先生的症状几乎完全消失,肝功能恢复正常,肾功能及心功能指标也接近正常。
然而,二尖瓣重度反流这一“病根”仍未解决,随时可能引发心力衰竭甚至猝死。
传统二尖瓣手术需开胸,创伤大、风险高,对李先生这类基础情况较差的患者尤为不利。马江伟主任团队经过反复的病情讨论后,决定给李先生实施目前国际上最新技术——经皮导管二尖瓣缘对缘修复术(TEER),选择MitraClip系统对重度反流的二尖瓣进行钳夹术。

经过细致的术前准备,手术于4月26日在全麻下进行,由马江伟主任带领团队亲自手术,先行食道三维超声检查,以了解二尖瓣病变情况,结果显示:患者合并有乳头肌断裂,系乳头肌断裂二尖瓣脱垂导致的二尖瓣重度反流。情况变得更为棘手,术中脱垂的腱索及乳头肌随瓣膜来回摆动,极易造成MitraClip系统的缠绕,会导致手术失败,甚至瓣膜严重损伤而导致紧急开胸手术。此类情况在国内尚为罕见,上海尚无成功先例,风险极高。

经过与家属的沟通,手术团队迎难而上,最终凭借精湛技术,在食道三维超声精准引导下,历时2小时将反流从“重度”降至“轻度”。术后第二天,李先生即可下床活动,第四天康复出院!

术前乳头肌断裂

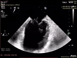
术前二尖瓣重度返流


术后二尖瓣轻度反流



什么是二尖瓣反流?

如果把心脏看作是一间两室两厅的房子(左右心室和左右心房),二尖瓣就是左心室和左心房之间的“门”。门会由于门把手问题(腱索、乳头肌)、门框问题(瓣环)、门板问题(瓣叶)导致门关不严实,从而导致风会通过缝隙吹进房间,也就是二尖瓣反流。久而久之,就会导致房子整体受损,出现心脏扩大、心力衰竭、房颤等问题,如果想从根本上解决问题,就是要修复坏了的门(二尖瓣)。

二尖瓣反流是常见的瓣膜性心脏病,随着年龄的增长而迅速增加,未经手术治疗的患者预后差,会反复出现心力衰竭的症状。该手术的成功开展,不仅能应用于二尖瓣病变,对心脏主动脉瓣、三尖瓣类似情况,也可采用微创手术进行修复。除此之外,心内科还常规开展复杂冠脉支架植入术,心脏导管消融术(房颤、房扑、室上速、室早),房间隔封堵术、卵圆孔未闭封堵术,心脏永久起搏器植入术(生理性起搏),守护奉贤居民的心脏健康。
往期精彩回顾
短评丨勇当敢打敢拼敢争先的“小老虎”
商铺码“学法副本”上线!扫码通关赢好礼!
养老院+科技公司组团来袭!医生、厨师、英语编辑……家门口的好工作别错过!
以“家”为钥开启文明新篇章,“家国万里 时光故事会”在沪举行
小浦摄影团第2期来啦!跟着“追花使者”云游奉浦的“花花世界”!