
胸腹主动脉夹层动脉瘤重建关键分支动脉的腔内微创治疗
第一完成人:冯家烜
第二完成人:孙羽东、朱广浪
第三完成人:李佑、宋子甲、李军
生死时速
耄耋老人的"炸弹"危机
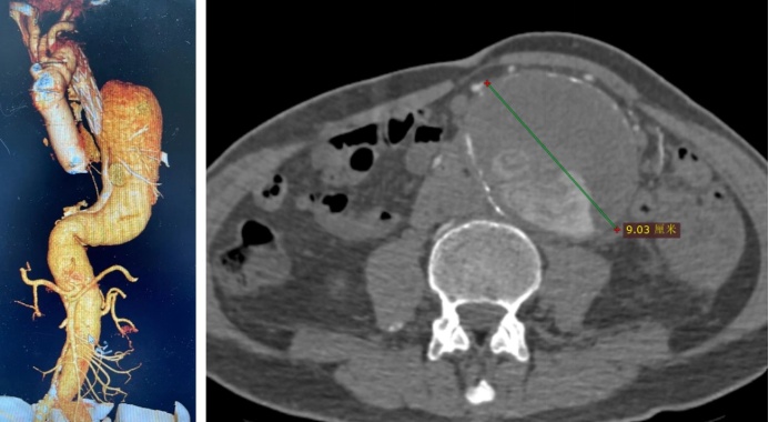
82岁的黄老十五年前,因突发A型主动脉夹层,在外院接受了“升主动脉-主动脉弓置换术”。近一年来黄老出现腰背部隐痛越来越明显,今年年初,CT检查时发现,残留的胸腹主动脉夹层已膨胀成直径9厘米的"定时炸弹",这位耄耋老人再次面临生死考验。
儿女们辗转多地被告知由于高龄体弱,无法耐受胸腹联合切开的开放手术,而腔内微创治疗需要重建所有内脏动脉、髂内动脉,甚至有的内脏动脉开口于夹层假腔,无法实施。

“医生说我父亲年纪太大,只能吃降压药、止痛药保守治疗,但也无法有效降低破裂风险”,黄老的儿子回忆道。后来当地血管外科医生推荐瑞金医院血管外科冯家烜副主任医师,把黄老的CT血管造影片子发给冯主任,冯主任仔细阅片后尽快安排黄老在瑞金医院嘉定院区住院治疗。
"血管绣花"
定制精准个体化腔内微创治疗方案
冯家烜带领血管外科治疗团队,对黄老的CT造影影像进行了三维重建,通过这个"血管地图",团队精准定位了主动脉破损处与要器官血管的"交叉路口"。但冯主任发现,如果堵住那些比牙签还细的脊髓供血血管(肋间动脉、腰动脉),有很高的截瘫风险。

冯主任决定通过改造带分支和开窗的腔内移植物(PMEG)来重建整个胸腹主动脉。由于主动脉真腔重度狭窄,通过开窗重建肠系膜上动脉和右肾动脉,并使用分支重建巨大假腔内的腹腔干动脉和左肾动脉。对于细小的给脊髓供血的肋间动脉,冯主任创新采用“双排扣小开窗”,在隔绝主动脉破裂口和夹层动脉瘤的同时,保证了脊髓的正常供血。

对于手术入路,冯主任设计无需做切口,采用双侧股动脉和左侧锁骨下动脉穿刺、预埋腔内缝合器的方法,这样把传统开放手术将近50公分的大切口减成了三个穿刺点,大大减少了老年患者的手术创伤,达到了最大化的微创效果。

在手术室和麻醉科团队的支持下,手术按计划在3个小时内顺利完成,最后造影见巨大的胸腹主夹层动脉瘤消失,肋间动脉、所有内脏动脉、下肢动脉得到完整保留。黄老苏醒后检查四肢感觉运动良好,无麻木感。术后返回了普通病房,并在术后第一天即下床活动,术后第四天便顺利出院。
半年后随访,复查CT提示胸腹主动脉夹层假腔血栓化良好,重要内脏动脉均保持通畅,原有的腰背部持续疼痛彻底消失了,最重要的是这提示原来濒临破裂的主动脉夹层动脉瘤压力消除,获得了完满的腔内修复。黄老高兴之下题一首小诗:“匠心潜碧浪,仁术复心魂。刀下生春意,胸中涌厚恩。”
推进临床证据更新
让患者享受最微创的主动脉腔内治疗
普外科血管外科亚专业团队组建以来,一直秉承“采用最微创方法,治疗最危重疾病”的腔内微创治疗理念,在院内新技术项目支持下,原创设计模块化带分支、开窗的腔内移植物,重建肠系膜上动脉、肾动脉等关键内脏动脉,同时保留肋间动脉预防截瘫,只需三个穿刺点即可实现整个胸腹主动脉的微创腔内重建,将“人体创伤最大的手术”减为了仅几个穿刺点,为该类危重难治老年患者带来了微创、耐久、快速康复的全新治疗选择。
该技术获得上海市新兴前沿技术多中心临床研究项目支持,获国家发明专利4项,已发表20篇SCI论文和国际综述等,正在全国十余个省市进行推广应用,在国际最大的血管外科学术会议VEITH会上进行了专题报告,为胸腹主动脉夹层动脉瘤微创腔内治疗提供了重要的“瑞金方案”。
(向上滑动查看)
门诊信息
赵任 主任医师
周一下午、周四上午(总院)
周三上午(嘉定院区)
冯家烜 副主任医师
周四上午(总院)
周五上午(嘉定院区)
血管外科专病门诊
周一下午、周二上午(总院)
周一、周三上午(嘉定院区)
撰 文丨李雨萌 、温兆琦
编 辑丨温兆琦

往期精选内容:

国家最高荣誉!上海交通大学医学院附属瑞金医院终身教授王振义院士获“共和国勋章”