原来“乳”此,你想问的我都知道
•
“我的乳房有胀痛,尤其是这一块,这里是不是结节?”
✦
•
“我现在正好是经期,会影响乳腺检查吗?现在查会不会增生严重些?”
✦
•
“乳腺增生会癌变吗?”
✦
•
“我有乳腺增生和结节,它们俩不是一回事吗?”
✦
•
“我之前检查医生说有纤维瘤的,但是没有乳腺结节,你说的结节是什么?”
✦
•
“乳腺结节长了,以后会消失吗?我吃什么东西可以让它没有?”
✦
•
“怎么可以知道我的结节是好的还是坏的?”
✦
•
“我有摸到乳房肿块,你给我仔细看看这里是不是肿块?”
✦
•
“为什么你说我有结节,但我每天都会自己摸一摸,根本就没有摸到过!”
✦
•
“我做过钼靶了,还要做乳腺超声吗?”
✦
•
“我每年都做超声的,是不是就不需要做钼靶了?”
✦
•
✦
在日常的工作中,经常会遇到患者问这些问题,大家一起来看看,有没有你也想知道的问题吧!
首先,我把以上的这些问题分为三个大类,我们分别来了解一下乳腺增生、乳腺结节以及影像学检查三个方面。
✦
01
一、乳腺增生
乳房出现胀痛的表现,大部分情况下都是乳腺增生引起的,多与内分泌紊乱有关系,普遍在月经前一周症状明显,月经后会有所减轻或消失。
其实,乳腺增生是乳房底板的问题,亚洲女性普遍都有,但是不同人的症状会有些许不同,有的人会胀痛,但有的人就没有这方面的困扰,那是为什么呢?
我们换个通俗的说法,乳腺增生作为底板,我们可以理解为肤种,亚洲女性普遍都是黄种人。
那为什么随着经期的变化,有些人的乳房肿痛的厉害,但有些人却一点感觉都没有呢?
因为即便大家都是黄种人,但每个人的皮肤底子是不一样的,有些人的皮肤好,有些人是痘痘肌、敏感肌。所以皮肤好的人,没有疼痛的烦恼。而痘痘肌、敏感肌的人,遇到特殊的时期,皮肤或多或少会发痘痘或者过敏,是不是就多多少少有一些疼痛的表现了呢!
至于很多人关心的,乳腺增生到底会不会癌变?其实通常情况下乳腺增生是不可能发展成乳腺癌的,所以不需要那么担心。
✦
02
二、乳腺结节
既然疼痛是增生引起的,那结节到底是什么?如果我现在正处于月经期,超声检查到底会不会受影响?
如果乳腺增生是底板,那么结节就好比是你长得痣,如果你脸上发痘痘或过敏,难道就会看不见痣了吗?答案是显而易见的,就算在经期,出现胀痛的表现,这只是你的感受,并不影响图像,因此大部分情况下不会影响检查。
乳腺结节它会自己消失吗?或者我吃什么东西可以让它没有?
乳腺结节分为很多种,有囊性的、实性的、混合性的等等。通常情况下,实性的结节是不会自己消失的,这就好比你长得痣,靠涂抹或者食疗,都不会让痣消失,唯一途径就是手术,就相当于大家所知道的点痣。
囊性、混合性或者炎性的情况,才有可能从无到有,它和实性结节是不一样的。我们举例来说,囊性结节里是一包水,哪天吸收掉了,可能也就没有了。
大家总会担心为什么从前没有结节的,现在突然就长出来了?
这就好比年轻的时候没有白头发、没有斑斑点点,但随着年龄的增长,它就慢慢出现了,很自然,并不能通过什么方法来让它完全不长。
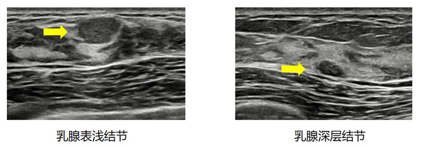
为什么有的块可以摸到,但有的摸不到?或者我自己摸到的是不是真的结节?
每个人的乳腺结构是不同的,有些人的腺体比较致密,有些人的腺体里夹杂的脂肪较多,都会影响触诊的结果。
✦
下面,我们通过两张图像让大家直观的感受一下两种乳腺底板的区别。

摸得到的块,可能长得位置比较表浅或者长得比较大;摸不到的块,可能长得位置比较深或者长得比较小,因此还是通过检查较为准确。
下面,我们继续通过两张图像的对比,让大家感受一下为什么有的块摸得着,有的块摸不到。

毕竟,夏天的薄被底下放颗黄豆你可能摸得到,冬天的厚棉被底下放颗红豆你就不一定摸得到了。
所以,依靠超声的检查,通过眼睛准确识别,比单纯的触诊会精确得多。就像你的痣长在某些犄角旮旯的地方时,不是特别大,你可能不一定会知道这里有颗痣,但如果照了镜子,就可以清晰地看到啦!
✦
纤维瘤和乳腺结节有什么不同?
纤维瘤是乳腺结节的一种,乳腺的结节有很多病理类型,而且分为良恶性,良性的如纤维瘤、导管内乳头状瘤等等,那恶性的就如浸润性乳腺癌、乳腺原位癌等等。所以乳腺结节是它的总称,就好比水果是一个总称,水果里面包含苹果、生梨等等。
超声检查就好比你买了一大袋水果回家,水果都在袋子里,我们通过形状等方面来大致判断它是苹果还是生梨,但遇见有些水果长得相似,就不足以准确判断它一定是什么。
因此,纤维瘤是病理结果,就好比你只有把这个苹果从袋子里取出来,你才能够看清楚,哦~原来它是苹果啊!
✦
为什么要定期检查?
为什么检查时医生要问病史?
日常工作中,有些患者从未进行过乳腺超声检查,首次发现结节如果较大,可能就需要手术处理,因为她不知道自己以前有没有结节。那有的患者知道自己的结节病史,多次检查下来发现结节没有明显的增大,可能就不需要手术处理。所以,询问病史是为了更好了解你的情况。
✦
乳腺超声检查的随访周期是多久?
通常我们建议患者根据个人的情况,每半年或一年检查一次,但每个人都是独立的个体,以上只是普遍的随访周期,如果你的情况比较“特殊”,那就还是要遵医嘱。
随访的周期不单单只为了判断结节的大小,也是观察结节的性质变化。有的结节可能以前是好的,但现在变坏了;有的结节可能一长出来就是坏的。这就好似有的孩子从出生到长大的整个过程,都是好孩子;有的孩子在成长的过程中变坏了;而有的孩子从出生那刻起就是坏孩子。
因此,定期的检查也是为了判断它有没有发生变化。
✦
我的结节比以前大了吗?
有些患者每次随访的医院都不是同一个,我们没有你从前的检查记录,真的无法回答到底变没变大。所以,如果你对自己的结节变化很在意的,建议可以将上一次的检查结果带来方便对比,在本次检查前给超声医生看一下,或许可以回答此类问题。
✦
乳腺结节良恶性如何判断?
乳腺结节我们通过BI-RADS分类标准进行评估分类,这就是大家普遍问的3类、4a类等等,通过超声检查,根据医生经验及超声图像进行评估分类。
有人会问为什么我的结节打到了4a类,那是因为它长得有点“难看”。常规超声检查作为乳腺筛查的守门员,我们的工作就像警察,作为前线第一道把关者,根据“罪犯”的特征来判断它是否犯罪。
有些“罪犯”虽然长得“难看”,但其实它是好人,为了不错判、漏判,就会增加许多其他检查手段,这就好比我们要对“罪犯”进行各种审讯,搜集有无犯罪证据等等,那么如何收集这些证据呢?可能就会通过超声造影、弹性等等,或者其他影像学检查。
✦
✦
03
三、影像学检查
我做了钼靶,还需要做超声吗?或者我做了超声,还有必要做钼靶吗?
日常工作中,经常会听到患者有这样的疑问,其实两者之间无法完全替代,大家都有各自的优缺点。因为成像原理的不同,所以大家擅长的也就不一样了。比如超声能够发现结节,尤其是一些小的结节,钼靶可能不一定看得见;而钼靶可以发现早期乳腺癌的微小钙化,超声不一定看得到。
乳腺的影像学检查方法包括超声检查、乳腺钼靶X线摄影检查、磁共振成像检查等。在临床检查中,这几个项目各有优势,互为补充。
所以,要了解乳腺的整体情况,要根据临床医生的判断,他们会告诉你什么样的情况下需要做什么检查。就好比你要了解综合成绩,就需要通过各门学科的结果来评判。
有的患者好奇为什么做乳腺磁共振检查前要打一针,那是为了进行增强扫描,更好的判断病灶情况。因此,相较于乳腺磁共振,超声具有便携、无创、无辐射等优点,单独或结合钼靶对判断乳腺病灶性质具有重要作用。而对于年轻、乳房腺体致密的患者,超声更是拥有钼靶无法替代的优势。
✦
•
✦
以上的问题,只是日常工作中最常被患者提问的,乳腺的这些事,
你现在了解了吗?
供稿:郑 雯
审核:陈 曼
校审:戴 云
预约就诊请关注公众号:
(配图源自网络,如有侵权请通知删除)
欢迎关注同仁医院官方微信服务号