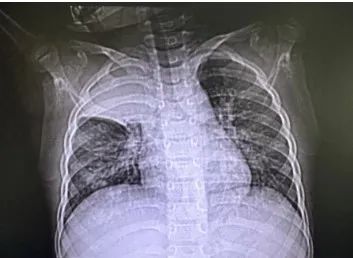
近日,4岁的小韩(化名)在父母的陪伴下,来到上海市儿童医院呼吸科就诊。“孩子三天前突发咳喘,后来还出现发热。”接诊的呼吸专科门诊医生通过胸片检查发现,小韩的两肺纹理增多,右上肺高密度影,可能存在感染性病变,随即将他收治到呼吸科病房。 手术现场 没想到的是,住院后小韩的血氧饱和度持续下降,最低仅89%,并出现了呼吸衰竭症状。“我们立即进行了肺部CT检查,发现孩子的右肺上叶影像完全消失,右肺中有少量胸腔积液。”呼吸科副主任顾浩翔第一时间与家长沟通,告知病情危重及后续治疗措施。“我们要马上进行电子支气管镜检查,先明确右肺上叶影像消失的原因,同时做病原学检测,才能对症下药。” 患儿右肺上叶“消失” 当电子支气管镜进入患儿肺部,顾浩翔发现右肺上叶开口处被白色痰栓完全填塞。“正常情况下右肺上叶三支开口的地方,被黏稠的痰栓完全堵塞,而且有继续增加蔓延的趋势。”顾浩翔进一步解释,这些痰液是患者肺部感染后,痰液没有及时排除,黏稠的炎性的分泌物不断积聚在气道内,最终堵塞气道造成的。 经呼吸科内镜团队讨论,最终使用较粗直径的(4.0mm)支气管镜,经内镜下2.0mm吸引孔,异物钳钳取联合负压吸引,仅用不到10分钟时间,取出两条长约5cm,看上去就像短树枝一样的完整塑型痰栓。 取出痰栓后的第二天,小韩病情明显缓解,缺氧症状消失,氧饱和度稳定于98%以上。在一周的抗感染治疗后,复查胸片予以出院门诊随访。 完整的塑型痰栓 经过病理分析,小韩得的是塑型性支气管炎,是儿科急危重症之一,往往较常见于重症支原体感染,会导致气道的内生性异物造成广泛性支气管堵塞,影响肺的通气功能,严重者发生呼吸衰竭甚至危及生命。“塑型性支气管炎起病急、进展快,可引起严重气道阻塞、呼吸困难,选择合适的支气管镜尽早取出塑形痰栓是治疗塑形支气管炎,避免呼吸衰竭,最行之有效的方法,但完整取出塑形痰栓难度较大。”顾浩翔提醒,一旦发现孩子突然出现发热不退,呼吸困难、面色发紫、烦躁不安等症状,应立即将孩子尽快送往医院救治,以免延误治疗危及生命。 上海市儿童医院呼吸科是我国最早开展可弯曲支气管镜检查的儿童专科医院之一,同时也是全国首批儿科呼吸内镜培训合作单位之一,是上海地区最大规模儿童呼吸专科。自2006年开展支气管镜检查至今,医院累计完成儿童局麻及全麻下支气管镜三、四级手术超10000例,年均完成千余例支气管镜检查及治疗,包括儿童重症肺炎、深部支气管异物、中央气道狭窄、中央气道占位、食管气管瘘、先天性气道畸形、肺部间质性疾病、肺动脉吊带、咯血等高难度病种。

