金秋“柿”月 小心胃石
秋风起
柿子红
金秋十月
正是吃柿子的好时节
中医认为,柿子味甘、涩,性凉,归心、肺、大肠经,具有清热、润肺、生津、解毒的功效。
明代李时珍的《本草纲目》中提到:“柿乃脾、肺、血分之果也。其味甘而气平,性涩而能收,故有健脾涩肠,治嗽止血之功。”
凡是皆有两面性,柿子味美,但不宜过量。
病房收治一名女性患者,68岁
患者主诉:阵发性上腹痛半月余
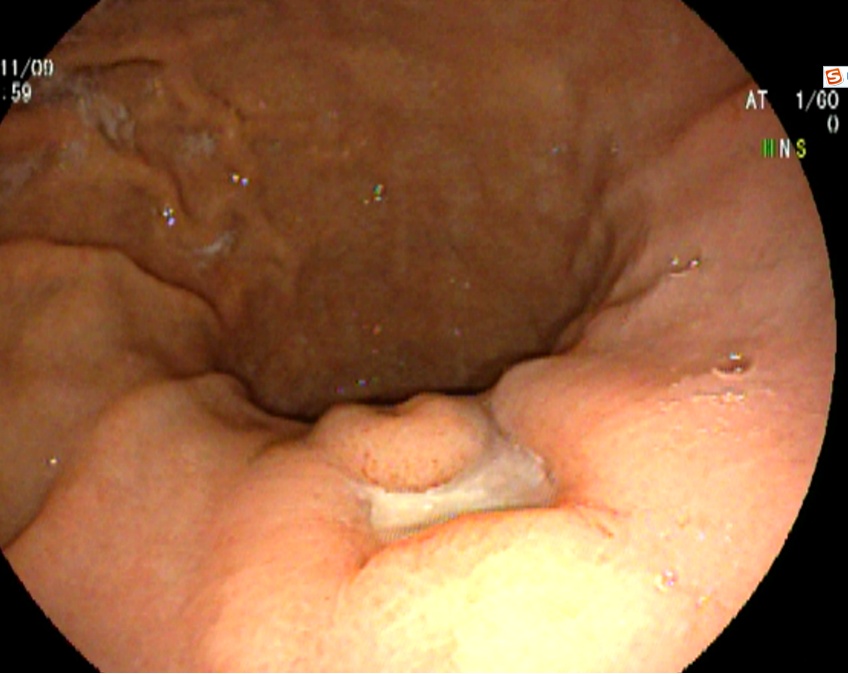
门诊行无痛胃镜,慢性浅表——萎缩性胃炎,胃石形成,建议内镜下治疗。
追问病史:平时喜食山楂,发病前进食柿饼。


什么是胃石症
胃石症是指进食某种物质或药物后在胃内积聚形成凝固物或硬块,既不能被消化也不能顺利通过幽门部的异物。
胃石的分类
植物性胃石(最常见):当空腹食用含有丰富鞣酸、果胶、纤维素等物质的水果(如柿子、黑枣、山楂等)时,鞣酸在胃酸作用下,能与蛋白质结合成分子较大的但又不易溶于水的鞣酸蛋白沉淀在胃内。因空腹中游离胃酸增多,更容易与鞣酸、果胶发生胶凝形成结石,而鞣酸蛋白、果胶、纤维素等会把果皮、果核黏合在一起,在胃内迅速形成胃石。
动物性胃石:进食大量的毛发、兽皮、兽毛或兽毛制品。90%为女性,特别是有些女性有咬食头发的习惯。
药物性胃石:长期服用含钙、铋等无机化学药物或某些制酸药(氢氧化铝凝胶、磷酸钙),中药丸,钡剂等。
混合性胃石:多种原因混合形成的胃石。年老、消化不良、胃瘫、胃部术后调节功能不良等。
常见的症状表现
轻症:病程超过6月,可表现为慢性胃炎的症状,如食欲不振,消化不良,上腹胀满、钝痛、反酸、烧心。
重症:常在食用这些食物后1小时至1周左右出现上腹不适、腹痛、腹胀、恶心呕吐。胃石会在胃里到处移动,有时损伤胃壁造成出血,严重的甚至会造成胃穿孔,一旦胃石进入到肠道里,很容易导致肠梗阻。
诊断方式
①患者有进食柿子、山楂、黑枣等相关病史;
②进食后不久出现消化道症状:上腹痛、恶心呕吐、黑便;
③胃镜或X线检查提示胃石。
治疗方式
A、药物治疗
①通过药物改变胃内环境(提高PH值),使胃石松软、溶解、变小,同时防止碎石再凝结,提高胃动力,促进其自然排出。
②碳酸氢钠 3-4g/次,3次/天,7-10天一疗程。(中和胃酸,和鞣酸反应生成质脆易碎的鞣酸钠)。
③服用抑酸护胃药物。
④胃动力药物:多潘立酮、伊托必利等。
⑤中医中药。
B、内镜下碎石
①活检钳咬割、钳切、捣击、穿刺破坏胃石包膜或外壳,并反复用水冲洗。
②内镜下钢丝圈套器,套切石体,再用兜抓钳抓成碎块。
③内镜下微波碎石。
④在上述过程中,可经活检钳插入细塑管,对着被击碎的胃石注入10%碳酸氢钠150~200ml,有利于胃石的软化排出,提高治愈率。
治疗效果
兰索拉唑抑酸1周(30mg bid)和碳酸氢钠片口服1周(600mg tid),补液支持。
一周后镜下复查,胃石消除。


如何预防胃石症的发生
最重要的就是注意饮食习惯,尽量避免空腹或者过量食用含有鞣质的水果。食用此类水果除不要空腹外,还要注意以下几点:
x 不要食用发涩的柿子和柿子皮,这两种鞣酸含量更高;
x 不要一次食用太多;
x 不易同时饮用过多过热的水;
x 不要跟鱼虾蟹肉等高蛋白饮食同时食用;
x不要与酸性水果同时食用,比如橘子、猕猴桃等;
√ 需要积极治疗胃肠动力障碍性疾病以防胃石再形成;
总结
最后,大家一定要记住:柿子好吃,不能贪多,每天1~2个即可。
另外,贫血患者更应少吃,因为鞣酸对于铁的吸收会有一定的影响,尤其是缺铁性贫血的患者,就不要“贪食”啦!当然,偶尔吃一两个是可以的。
愿大家好柿发生,万柿胜意。
撰稿:张家雯
审稿:蔡波尔、徐雯莉、陈平