病因扑朔
求医未果
52岁的李阿姨反复低热已有一年多,在外院进行相应治疗后发热并没有好转,甚至到后来一天要吃4次退热药。不仅如此,李阿姨发现自己的腹部越来越隆起,还出现了腹胀、腹痛、进食后呕吐的症状。李阿姨一家辗转多家医院,均告知腹中存在巨大肿瘤,手术风险过高,无法手术。日子一天天过去,李阿姨明显感到腹腔内肿瘤越来越大,李阿姨一家一度陷入绝望。
多学科团队协力
量身制定方案
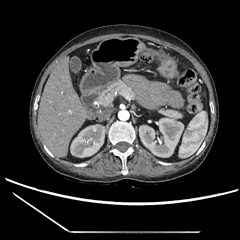
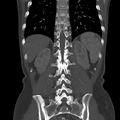
今年8月,李阿姨一家不远千里慕名来到瑞金医院嘉定院区消化道肿瘤多学科联合门诊就诊。就诊当天,来自胃肠外科、血管外科、放射科、病理科、肿瘤科、放疗科等多位专家仔细研读患者的病例及影像学资料,CT检查显示,李阿婆的肚子里竟有直径达30cm的巨大的脂肪肉瘤。肿瘤呈分叶状,填满了腹腔盆腔的间隙,挤压侵犯周围组织器官,病情异常凶险。


肿瘤体积巨大
与多个腹腔重要血管关系紧密
血管外科冯家烜副主任认为:肿瘤血供丰富,且累及肠系膜上血管等多个重要血管,术中出血风险高,可预先DSA行肿瘤供血血管栓塞,减少术中出血;对于受侵血管,可切除后行血管重建。有了多学科保驾护航,瑞金医院副院长、嘉定院区普外科执行主任赵任教授表示:这个患者的手术虽然难度极高这个手术虽然难度极高,但是仍有根治性手术切除的机会!李阿姨一家看到希望的曙光,当即决定,为生命勇敢一搏!
术前DSA栓塞肿瘤血管
保驾护航
李阿姨随即被收治入院,8月23日,冯家烜、孙羽东、朱广浪三位血管外科医生为患者施行了经皮肠系膜上动脉分支栓塞术,尽可能栓塞了肿瘤滋养动脉,减少肿瘤供血,为第二次根治性切除术降低手术风险。
手术麻醉团队高效配合
手术成功实施

赵任教授与冯家烜副主任正在为李阿姨“拆弹”
8月28日,在麻醉科、手术室、输血科等多个科室的支持下,由普外科赵任教授主刀、血管外科冯家烜副主任、普外科刘坤副主任医师和普外科王常刚、陈献则、张雅琦等多位医师共同为患者进行了腹膜后巨大肿物切除术。
术中发现,患者肿瘤不仅体积十分巨大,还侵犯包绕了肠系膜上静脉等多个腹腔重要血管!赵任教授精心剥除肿瘤,尽可能保留了小肠等器官血供,对于受侵严重的肠系膜上静脉,冯家烜主任为患者进行了血管修补重建。手术历经四个半小时,团队将重达4kg、直径近30厘米的肿瘤连同受侵部分小肠完整切除!
肿瘤长度达30cm,重达4kg
ICU病房接力
患者顺利康复
李阿姨的肿瘤血供十分丰富,在麻醉科、输血科的全力支持下,患者术中情况平稳,术后患者顺利脱机拔管,在ICU监护治疗一天后转回普通病房,经医护人员精心护理,术后8天患者即顺利康复出院。病理报告、免疫组化及基因检测结果出具后,李阿姨将根据mdt多学科团队共同制定的方案进行后续治疗。


赵任教授介绍道:腹膜后肿瘤位于腹膜后间隙,包括原发性腹膜后肿瘤、腹膜后实质性脏器肿瘤和转移性肿瘤,具有位置深、累及重要脏器、周围血管密集、解剖结构复杂、手术空间狭小等技术难点。在李阿姨的治疗过程中,血管外科、放射科、肿瘤科、ICU、麻醉科、输血科的共同诊治起到了重要作用,为手术安全、根治性保驾护航。
脂肪肉瘤一般为无痛性、逐渐长大的肿物,前期可无疼痛,随病情发展,可能出现剧烈疼痛、活动受限等症状。发生在腹腔或体内的肿瘤较难早期发现,后续会压迫肠道、膀胱、肾脏,从而引起消瘦、腹部高度膨隆、腹胀、便秘或血便、尿频、尿急。当出现上述症状时,应及时就医治疗。
门诊信息
赵任 教授
周一下午、周四上午(总院)
周三上午(嘉定院区)
冯家烜 副主任医师
周四上午(总院)
周五上午(嘉定院区)
周二上午 血管外科专病门诊(总院)
周三上午 血管外科专病门诊(嘉定院区)
刘坤 副主任医师
周一、周四上午(嘉定院区)
结直肠肿瘤筛查医护联合门诊
周一、周四上午(嘉定院区)
消化道肿瘤多学科联合门诊
周三中午 11:30~13:00(嘉定院区)
撰文 | 张雅琦、刘坤
编辑丨温兆琦