我的位置: 上观号 > 上海嘉定 > 文章详情

半小时拆除“不定时炸弹”,嘉定这家三甲医院引进新技术

转自:上海嘉定 2024-09-11 07:39:29

“医生快救救我!胸闷气短,好像气要吸不上来了!”最近,家住马陆镇的沈老伯在浇花时,忽然一阵胸口痛。家人随即拨打120急救车,将其就近送到瑞金医院嘉定院区。

急诊科副主任医师王仁颖立刻对沈老伯做了全面检查,并最终确诊为肺动脉瘤。“立刻叫介入放射科主任王庆兵会诊!”王仁颖当机立断,因为肺动脉瘤就像是肺里的一颗“不定时炸弹”,平时毫无声息,可一旦爆发,就会带来致命后果。

王庆兵解释,肺动脉瘤是肺动脉的局部异常扩张瘤体在患者体内悄悄生长,一旦破裂,就如同“内部水管爆裂”,血液会即刻喷涌而出,导致患者呼吸困难、咯血甚至休克等严重后果。

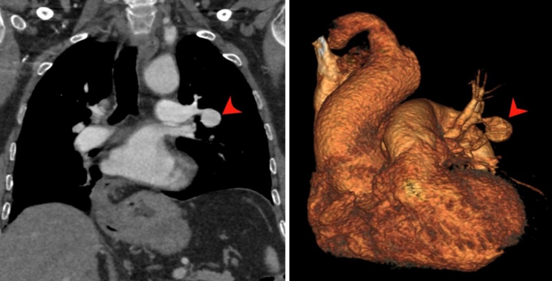
通过CT三维重建显示动脉瘤的位置及大小

随后,王庆兵为沈老伯进行了介入治疗。“通过栓塞肺动脉瘤所在的血管,有效地阻止血液流入瘤体,沈老伯的病情得到了有效控制,全程仅仅花了半小时。”王庆兵介绍,介入治疗是目前治疗肺动脉瘤的主要方式之一,它通过导管等器械进入患者体内,可以精确地定位和治疗肺动脉瘤,避免开放手术可能带来的较大创伤。术后,沈老伯恢复良好,已康复出院。

据了解,去年8月,瑞金医院嘉定院区新开设放射介入科,主要处理良恶性肿瘤、外周血管等疾病的介入治疗,过去的一年共完成了1100余台各类介入手术。

撰稿:印沁沁

编辑:唐敏、卢泽斌



喜欢就点个“赞”和“在看”吧~