导语
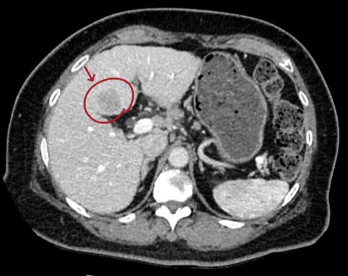
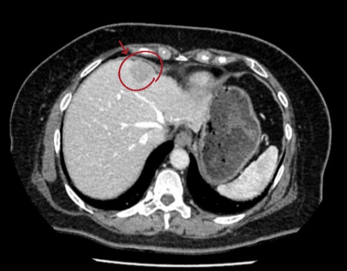
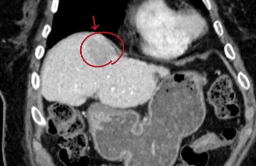
患者术前CT




患者术前超声造影


王奕主任综合考虑了患者的年龄、既往病史及各项指标等,经过周密的分析及讨论,认为俞女士的情况是微波消融术的适应征,于是建议俞女士对其肿瘤行腹腔镜超声引导下的肝微波消融术。
王主任介绍道:微波消融是局部治疗,只“烧死”肿瘤组织,对正常组织影响小,具有安全、精准、有效、治疗费用低等优势。于是在征得患者同意并完善术前检查后,王主任为俞女士进行了肝脏微波消融术。

利用术前CT,进行三维重建。
王主任进行手术中

以下为术中图片展示
图片可能会引起不适,请谨慎观看
对肝脏IVb段肿瘤穿刺取病理


在腹腔镜超声引导下精准进针
达到病灶位置并消融


对肝脏IVa段肿瘤穿刺取病理

进针并开始消融


消融过后即刻打造影剂
评估消融效果

IVb段病灶

IVa段病灶
两病灶内均无明显造影剂灌注,消融效果满意。
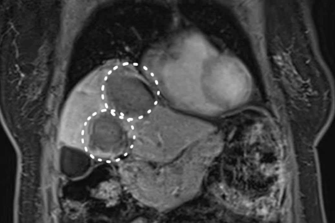
患者术后第二天MR




患者出院前超声造影复查


复查结果提示未见肝内有强化病灶,肿瘤完全失去了活性。经外周静脉注射造影剂Sonazoid后,病灶区域始终未灌注区,显示消融效果满意。
患者病理报告结果为:肝细胞肝癌
患者甲胎蛋白指标从100.43ng/ml降为25.74ng/ml
术后三天俞女士恢复良好,顺利出院。
王奕主任小科普
Q1
什么样的肝癌更适合微波消融治疗?
1、对于高龄、合并其他脏器(心、肺、肾等)严重疾病或严重肝硬化的早期肝癌,外科切除已不能耐受,微波消融治疗是主要选择;
2、对于位于肝脏深部或中央型的早期肝癌,尤其单个直径≤2cm的肝癌,微波消融治疗更具优势;
3、同时出现散发于不同肝叶的多个小肝癌;
4、频繁出现非转移的多处肝癌病灶;
5、既往采用过外科切除出现复发的肝癌病灶;
6、患者不愿意采用创伤较大的外科切除;
7、对那些肿瘤较大较多,既无法手术治疗,采用其他方法又无明显效果的病人。微波消融治疗可以降低肿瘤负荷,减缓病情,减少痛苦并延长生命。
Q2
微波消融的优势?
微波消融术有三大理论优势:
①消融范围更广;
②在较短的时间内更彻底的肿瘤杀伤;
③散热效果的敏感性低。

专家门诊:周三上午,门诊三楼49号诊室
特需门诊:周五上午,门诊六楼特需部
供稿:李佳洋
审核:王 奕
校审:戴 云
预约就诊请关注公众号:
(配图源自网络,如有侵权请通知删除)
欢迎关注同仁医院官方微信服务号