用户名:
密 码:
验证码:
看不清
忘记密码?
模糊搜索
作者搜索
标题搜索
正文搜索
摘要搜索
查看新版>>
登录
注册
首页
视频
在场
观观观察局
文汇视讯
文汇艺术
文汇大家聊
文汇馆长说
文汇青年营
潮探007
冲呀花花采访团
魔都三棱镜
汇演
艺见
许蜜桃
我不是唐亿森
速瞰天下
书人茶话
顾问天下
上海时刻
晏秋秋
江江三人行
饭小兔的美学洞窟
Biu比由
文汇科代表
解放日报谢飞君
文汇讲述
新聚场
政情
@康平路
直通200号
伴公汀
上海一周
反腐记
抗战·上海寻迹
交汇点
市政厅
经济
财经连线
产业观察
金融区块链
流量研究所
市场解码
任我行
产经
市场
城生活
财经
城事更新
文化
文旅乐游
文化观澜
文艺清单
文化视点
独家探班
观众席
片场视听
文汇人文之城
台前幕后
文化生活
副刊
新民艺评
朝花时文
海上记忆
上书房
笔会
文汇文艺评论
文汇文艺百家
文汇读书
夜光杯
民生
民声直通车
上海辟谣平台
人民建议
读者
城市的味道
帮侬忙
上海滩
民生调查
侬好上海
谈天
文汇集结号
汇帮忙
区情
浦江眼
前沿风
郊野笔记
上海屋檐下
海上755
区域
Yeah!上海
十六区
郊野大地
评论
观见
时评
文汇时评
文汇微言
新民眼
思想
上观学习
思想汇
学林
论苑
文汇智库
文汇学人
文汇讲堂
深度
纵深
原点
申观察
新民周刊
科创
创新之城
科创前沿
科学新知
科科哒
教卫
教育在线
文汇教育
教育星球
学堂有名堂
医声医事
哎哟不怕
健康生活
第医线
康健园
医本正经聊天室
体育
运动+
文汇体育
新民体育
新民场外音
厉苒苒
东方体育日报
社会
说法
案页
十二公民
新瞰点
新民法谭
新音频
长三角
华东局
江南
城市志
要闻
时政要闻
国内
港澳台
北京来信
山海情
风物
京华传真
国际
世界观
大局观
海外惊奇
文汇环球
国际视点
深海区
侨梁
浩峰说
天下
早读
纵览
时事
话媒堂
上官河
汇闻
新民早报
视觉
图数图说
见识录
大视界
数据洋葱
文汇视觉
图个明白
新民印象
直播
文学报
新批评
文学现场
世界文学
品牌
健面谈
文创+
大区势
企示录
一起来
科创上海
微观上海
车天下
品牌汇
教育汇
文旅在线
新民汇
新民亲选
援疆风采
喀什风情
爱我国防
新民小记者
万象
专题
直播
上观号
电子报
解放日报
文汇报
新民晚报
上海日报
新闻晨报
上海法治报
社区晨报
东方体育日报
文学报
浦东时报
新民周刊
上海宣传通讯
我的位置:
上观号
>
上海女性
>
文章详情
上海瑞金医院:女孩突然濒死,抢救难度极大!警惕,不少人夏天都这么干
转自:
上海女性
2024-07-15 16:31:17
你平时喜欢喝饮料吗?
尤其到了夏天
来一杯冰凉的饮料
简直太爽了
不过
喜欢把饮料当水喝的
要小心了!
今年3月,28岁女孩淼淼早上醒来头晕目眩,于是她前往医院就诊。一开始,医生还以为淼淼压力太大,没想到血化验结果出来之后,把医生吓了一跳!
28岁的女孩血糖“爆表”
静脉血糖竟高达56mmol/L!
(正常范围是3.9-6.1mmol/L)
她的糖化血红蛋白达到了13.3%
这表示患者至少近3个月血糖
处于很高的水平
而她竟浑然不知
休克、濒死、换血
经当地医院检查发现,淼淼这是典型的
糖尿病酮症酸中毒
的现象,如不及时抢救,就有生命危险。淼淼的父母当机立断,去上海瑞金医院!
3月24日下午,一辆救护车停在了瑞金医院急诊门口。
一家人抵达瑞金医院时,
淼淼的体温已经高达39℃,心率180次/分,整个人处于休克状态。
经多学科会诊后综合认为,淼淼为糖尿病非酮症高渗性昏迷状态,同时合并脓毒性休克及多脏器功能衰竭。
“糖尿病是由于胰岛素分泌及(或)作用缺陷引起的以血糖升高为特征的代谢病,典型症状是‘三多一少’——
多饮、多食、多尿、体重减轻
,淼淼患的是Ⅱ型糖尿病而不自知,渴的时候总想喝点甜的来缓解,如此循环往复,加重了她的病情,而同时并发的肠道感染使得原本的糖尿病急症雪上加霜。”急诊科主任毛恩强介绍道。
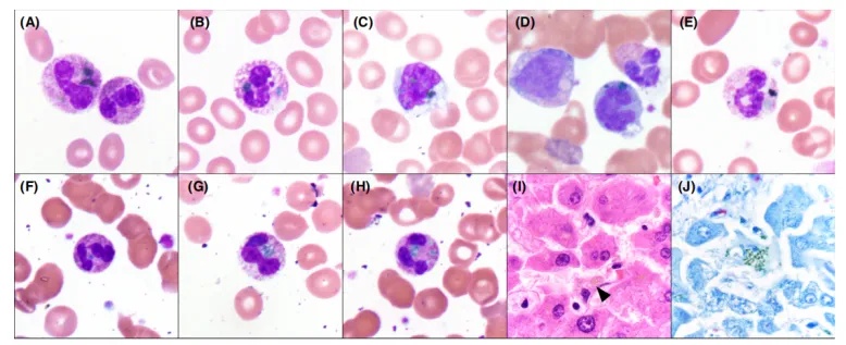
淼淼刚入院两日,不幸的消息传来,完善相关辅助检查及化验后显示,淼淼的外周血涂片有“绿色小体”——这是一种在危重病人的中性粒细胞中非常罕见的绿色包涵体。
什么是“绿色小体”呢?
据介绍,“绿色小体”出现后患者的病死率在58%~68%,多数情况下会在72小时内死亡。可以说,发现了“绿色小体”就相当于宣布病人预后不良的结果!抢救难度很大!
面对这样紧张的局势,包括毛恩强在内的全体EICU医护人员团结一致、认真备战。通过了EICU的积极治疗,淼淼终于在3月27号度过了炎症风暴,生命体征逐渐平稳。
4月1日,淼淼就可以拔除气管插管了,4月2日,肠道感染也基本好转,4月中旬,她逐渐恢复正常。
临出院时,毛恩强主任来到病房与淼淼握手,感叹她“九死一生,死里逃生”,淼淼及家人相拥而泣,含泪感谢道“真不是一两句感谢的话能表达我情感的,大家这是救了我的命啊……”
长期喝饮料后果很严重
瑞金医院医生提醒
为什么28岁的女孩会得糖尿病?在追问病史的时候,医生了解到,
淼淼每天至少喝1-2杯果茶或含糖碳酸饮料,也酷爱甜食,再加上平时工作忙,很少运动。
大量糖分和添加剂的摄入,导致了她的糖尿病。
“不敢喝了,从医院出来以后这辈子都有阴影了……”淼淼说道。目前,她已恢复良好,回归了工作岗位。
急诊科副主任盛慧球提醒
,前来急诊就诊的年轻糖尿病急症患者往往并不知晓自身患有糖尿病的情况,并普遍都有熬夜、喜高糖油腻饮食、饮酒、好静不好动等不良生活习惯,再叠加一些感染的诱发因素,就有可能发展为脓毒症甚至脓毒症休克。脓毒症是一种以感染为诱因,以多脏器功能受损为特征的临床综合征,可危及生命,一旦出现就需要急危重症专业医生紧急介入,在脏器功能损害尚可逆转的时期给予规范治疗,方能阻断其恶化,挽救患者的生命。
网友:吓得赶紧
把手里的奶茶扔了
饮料是导致糖尿病的“元凶”之一
饮料中含有大量的人工单糖,长期喝会导致糖尿病。
可乐、果汁等饮料中糖含量太高。据统计,一瓶500毫升可乐的含糖量就高达53克,已经超过世卫组织要求的每天40~50克标准糖的摄入量。也就是说,一天喝一瓶可乐,糖的摄入量就超标了,如果再加上吃其他含糖的食物,一天的糖摄入量严重超出了人体的生理需要。
市面上销售的果汁并不是水果的榨汁,而是由人工糖勾兑而成,含糖量甚至高于可乐。
而且可乐、果汁中的糖都是单糖等“游离糖”,更容易引起糖尿病、肥胖、痛风等。
早在2016年,新加坡就开始向饮料“宣战”。2019年新加坡就宣布含糖饮料不得在电视、印刷品和网络上做广告宣传,当时禁止的含糖饮料包括可乐、果汁、酸奶饮料和速溶咖啡等,今年又增加了咖啡店现场泡制的饮料、鲜榨果汁以及奶茶等。
喝无糖饮料也要小心血糖升高
29岁小伙子小夏(化名)在减肥时想着只喝白开水难以下咽,就换成了无糖饮料。
谁知他在喝无糖饮料一周后,突然感觉全身无力、头晕、呕吐、心跳加速
……家人见状赶紧将其送至医院急诊抢救。一查,小夏血糖竟已高达32.4mmol/L,做了相关检查之后,被医生确诊为酮症酸中毒。
接诊医生为小夏制定了药物综合治疗方案,并叮嘱他纠正饮食习惯。经过一周对症治疗,小夏的血糖等各项指标已逐步恢复正常。但遗憾的是,29岁的小夏已患上糖尿病,需要长期接受降糖治疗。
根据现行的《食品安全国家标准预包装食品营养标签通则》规定,固体或液体食品中每100克或100毫升的碳水化合物(糖)含量不高于0.5克,能量低于17千焦,热量小于4千卡,就可以被称为“无糖”。
“所以说,饮料标签上的‘无糖’‘零卡’,不等于完全不含糖。”
鄞州人民医院内分泌科主任龚维坤解释,这些饮料中仍可能含有果糖、麦芽糖,这些成分一样可在人体内转变为葡萄糖,食用过量后导致血糖升高。有些饮料或食品不添加常见糖类,也极有可能添加了代糖。
龚维坤医生科普:长期无节制地饮用这类饮料,摄入大量代糖的话,可能会导致大脑误以为糖已经进入人体,从而刺激胰岛素迅速分泌,长此以往将降低胰岛素的敏感性,增加糖尿病的发病风险。
了解酮症酸中毒的预警信号
口渴和尿频:
如果口渴不是因为运动量太大、出汗过多或者缺乏足够的水分摄入的话,可能是因为糖尿病。口渴过度是高血糖和糖尿病酮症酸中毒的症状,即使喝的水不多,患有糖尿病酮症酸中毒的人也可能需要更频繁地排尿。
肠道不适:
糖尿病性酮症酸中毒发生后,人们可能会由于毒性反应发生导致肠道免疫系统的排斥,从而引起厌食、恶心、呕吐和腹痛等症,给肠道带来不适感。
烂苹果味的呼吸:
糖尿病性酮症酸中毒的这种症状是独特的。如果朋友或家人注意到某人的呼吸有烂苹果味,则可能是糖尿病性酮症酸中毒的症状。
脱水和休克:
一些中毒患者会出现视力模糊、脱水和休克的症状,这种情况相对比较严重,会影响患者的生命安全,脱水表现为皮肤干燥、眼球凹陷等。因此,需要引起大家的重视。
长期把饮料当水喝,
会导致一系列健康问题,
可不要贪杯呦!
来源:瑞金医院、新闻坊、新闻晨报、宁波晚报、中国医学论坛报、上观新闻
戳这里为我加颗小星星⭐️
公众号一言不合就改版,
“星标”我才能更方便接收消息哦。
现在只需三步: