2024年3月
来自浙江海盐的28岁女孩淼淼
因早上醒来头晕目眩
而前往医院就诊
一开始医生还以为淼淼压力太大
没想到血化验结果出来之后
把医生吓了一跳……
28岁的女孩血糖“爆表”
静脉血糖竟高达56mmol/L!
(正常范围3.9-6.1mmol/L)
糖化血红蛋白达到了13.3%,这表示患者至少近3个月血糖处于很高的水平,而她竟浑然不知!
休克、濒死、换血
抵达当地医院时的淼淼已经意识不清,整个人处于昏迷状态了。经检查发现,淼淼这是典型的糖尿病酮症酸中毒的现象,如不及时抢救,就有生命危险。看着躺在床上的孩子,淼淼的父母当机立断,“去瑞金医院!去内分泌最好的瑞金医院搏一搏!”
3月24日下午,一辆救护车停在了瑞金医院急诊门口。经相关检查发现,患者此时体温高达39℃,心率180次/分,血β-羟丁酸0.9mmol/L,葡萄糖14.55mmol/L,钠149mmol/L,降钙素原18.24ng/ml,DD7.62mg/L,尿酮体阴性,整个人处于休克状态。经多学科会诊后,综合认为淼淼为糖尿病非酮症高渗性昏迷状态,同时合并脓毒性休克及多脏器功能衰竭。
“糖尿病是由于胰岛素分泌及(或)作用缺陷引起的以血糖升高为特征的代谢病,典型症状是‘三多一少’——多饮、多食、多尿、体重减轻,淼淼患的是Ⅱ型糖尿病而不自知,渴的时候总想喝点甜的来缓解,如此循环往复,加重了她的病情,而同时并发的肠道感染使得原本的糖尿病急症雪上加霜。”急诊科主任毛恩强介绍道。

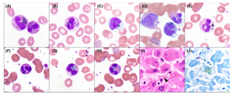
3月26日,不幸的消息传来,完善相关辅助检查及化验后显示,淼淼的外周血涂片有“绿色小体”——这是一种在危重病人的中性粒细胞中非常罕见的绿色包涵体。检验科老师查到后,及时打电话告知急诊医生,提醒多加注意。据介绍,“绿色小体”出现后患者的病死率在58%~68%,多数情况下会在72小时内死亡。可以说,发现了“绿色小体”就相当于宣布病人预后不良的结果!抢救难度很大!

面对这样紧张的局势,全体EICU医护人员(毛恩强、盛慧球、车在前、周与华、姚怿、王义辉等医生)团结一致、认真备战,在给与补液降糖、血管活性药物支持,抗感染、普通肝素抗凝后,决定进一步运用床边血液净化——免疫吸附、单膜血浆置换、短时间断血液滤过三种净化模式联合,去除脓毒症所产生的炎症因子。通过了EICU的积极治疗,淼淼终于在3月27号度过了炎症风暴,生命体征逐渐平稳。4月1日,淼淼就可以拔除气管插管了,4月2日,肠道感染也基本好转,4月中旬,她逐渐恢复正常。
临出院时,毛恩强主任来到病房与淼淼握手,感叹她“九死一生,死里逃生”,淼淼及家人相拥而泣,含泪说道“真不是一两句感谢的话能表达我情感的,大家这是救了我的命啊……”

短期可能没有症状
长期后果很严重
为什么28岁的女孩会得糖尿病?在追问病史的时候,医生了解到,淼淼每天至少喝1-2杯果茶或含糖碳酸饮料,也酷爱甜食,再加上平时工作忙,很少运动。大量糖分和添加剂的摄入,导致了她的糖尿病。
“不敢喝了,从医院出来以后这辈子都有阴影了……”淼淼说道。目前,她已恢复良好,回归了工作岗位。
急诊科副主任盛慧球提醒,前来急诊就诊的年轻糖尿病急症患者往往并不知晓自身患有糖尿病的情况,并普遍都有熬夜、喜高糖油腻饮食、饮酒、好静不好动等不良生活习惯,再叠加一些感染的诱发因素,就有可能发展为脓毒症甚至脓毒症休克。脓毒症是一种以感染为诱因,以多脏器功能受损为特征的临床综合征,可危及生命,一旦出现就需要急危重症专业医生紧急介入,在脏器功能损害尚可逆转的时期给予规范治疗,方能阻断其恶化,挽救患者的生命。
饮料虽好喝
为了身体健康
切莫“贪杯”哦
撰文:张子晴
摄影:陈钧