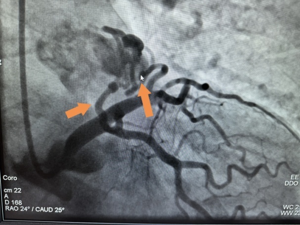
患者胸痛不适 不一定是冠脉本身狭窄 还有可能是心脏里的“小偷” 窃走了冠脉的血流 分流到了其他器官 77岁的徐阿姨 因反复胸痛不适半年 到奉贤区中心医院心血管内科就诊 据悉徐阿姨每次发作胸痛无明显原因 持续1~2分钟症状可自行消失 检查胸部CTA提示冠状动脉-肺动脉瘘 上面两张图片就是徐阿姨的检查影像,我们可以看到箭头所指的位置就是徐阿姨的左冠状动脉,发出两根瘘管。 冠状动脉瘘 冠状动脉瘘是冠状动脉的一种先天性或获得性异常,发生率在0.05%~0.9%。冠状动脉瘘形成会导致心肌缺血从而导致心绞痛发作,时间长了导致心脏扩大继而发作心衰。冠状动脉瘘自然闭锁的机会极少,且随着年龄增长会出现相应的并发症,故多主张早期治疗。 结合徐阿姨的症状及相关检查结果 医生建议内科介入治疗 经过术前充分评估 与徐阿姨及家属反复沟通后 手术团队选择介入下用弹簧圈对瘘管进行封堵 术中造影证实从左前降支发出双瘘至肺动脉 两处瘘管血管迂曲且流量大 手术持续1小时 经弹簧圈封堵术后两处瘘管分流消失 术后次日徐阿姨明显感觉胸痛症状消失 这也是奉贤区首例冠状动脉瘘封堵术 左(术前):由左前降支发出2根瘘管至肺动脉形成瘘。 右(术后):用弹簧圈对瘘管进行封堵术后,瘘消失。 冠状动脉瘘封堵术 具有创伤小、时间短、费用少等优点。在不增加患者痛苦及操作风险的同时,为患者进行精准治疗。 奉贤区中心医院心血管内科 科室为奉贤区首批医学重点学科、奉贤区胸痛诊治中心,奉贤区房颤中心并取得国家胸痛及房颤中心认证。目前开放床位85张(CCU20张,A类病房5张)。共有医护人员64人(博士5名、硕士10名、博士生导师1名、硕士生导师3名),其中主任医师3人、副主任医师5人、主治医师10人。年门急诊业务量12万人次,年出院人次近4200余人次,介入诊疗2600余人次。亚学科建设成熟,有冠脉介入组、起搏组、电生理组、高血压心衰组。

