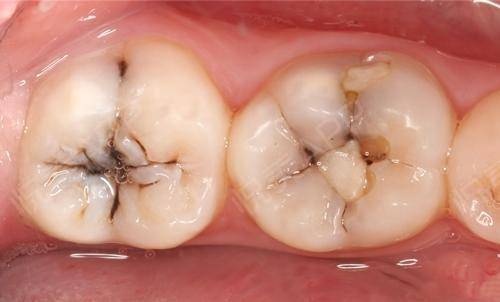
很多小伙伴有过这样的经历:牙疼得翻天覆地、彻夜难眠,心想“一定要找个时间去看牙!”但是一不疼了又想“看牙太可怕了,还是以后再说吧!”结果一拖再拖,反而变本加厉,无奈只能鼓起勇气去看了牙医,上来就想让医生补掉蛀牙,但是这种情况往往已经没办法直接补牙了…… 牙齿龋坏可以分为哪几种? 哪些情况可以直接补牙? 根据蛀牙的深浅,可以分为以下几种: 浅龋 牙齿咬合面有较深的黑线,常见于后牙,说明开始蛀牙了,牙釉质被破坏。这时候往往没有任何不适的症状,容易被忽视。 中龋和深龋 牙齿出现龋洞,冷热酸甜刺激时会敏感,或者食物残渣滞留在龋洞内时会引起酸痛,这种情况说明细菌已经侵入到牙本质中层或深层,如果没有明显的自发性疼痛,大部分情况还是可以进行直接充填的。 而又有哪些牙齿不能直接补牙呢? 有什么治疗的方法呢? 1.蛀牙在无任何刺激的情况下,出现夜间痛或自发痛情况,说明牙神经已经受到细菌感染,发生了牙髓炎,这种情况需要进行根管治疗。 2.蛀牙时间过长,牙神经已经感染坏死,引起牙根发炎。这种情况需要医生结合临床检查和X线片检查,判断牙齿龋坏的大小、根尖炎症的程度,以判断牙齿是否可以保留。若可以保留,即进行根管治疗;若无法保留,则需要拔除。 3.蛀牙面积过大且深,直接补牙极易脱落,效果较差。这种情况需要进行根管治疗后通过修复(全冠、嵌体等)的方法来解决。 小 结 所以,如果大家发现自己有蛀牙,应该尽早修补,以阻止牙齿进一步龋坏。若不及时进行治疗,龋洞就会越来越大,进而引起牙髓炎、根尖炎,甚至残根、残冠,直至需要拔牙。早发现、早治疗,效果就越好,花钱也越少。大家一定要定期检查牙齿哦!





