按摩颈部也会被按出“肿块”,并且尺寸竟达到了一颗苹果的大小,到底是怎么一回事儿?
去年正月初五,文女士因颈部不适让其丈夫帮忙进行颈部按摩放松,第二天发现左颈部鼓了个包,当地医院检查提示左颈内静脉瘤,考虑到手术风险,当地医院建议暂时保守治疗,观察病情变化。
在这一年时间里,肿块不退反增,越来越大。“这个肿块是什么啊?会不会是肿瘤一样的坏东西?这样保守治疗会不会有生命危险啊?”文女士怀着内心的担忧来到瑞金医院嘉定院区普外科血管外科冯家烜副主任医师的诊间寻求帮助 。

冯医生仔细询问文女士的病史,对病变部位进行了详细的专科查体,结合文女士既往的检查资料与影像图片,冯医生当即明确左颈内静脉假性动脉瘤的诊断,并且该疾病的发生与文女士症状出现当天的颈部按摩可能存在直接的关系。
颈内静脉假性静脉瘤在临床上比较少见,该疾病的发生与颈部血管发育异常以及颈部外伤导致血管损伤密切相关,治疗方式上以开放手术缝合假性静脉瘤破口,切除瘤体为主。

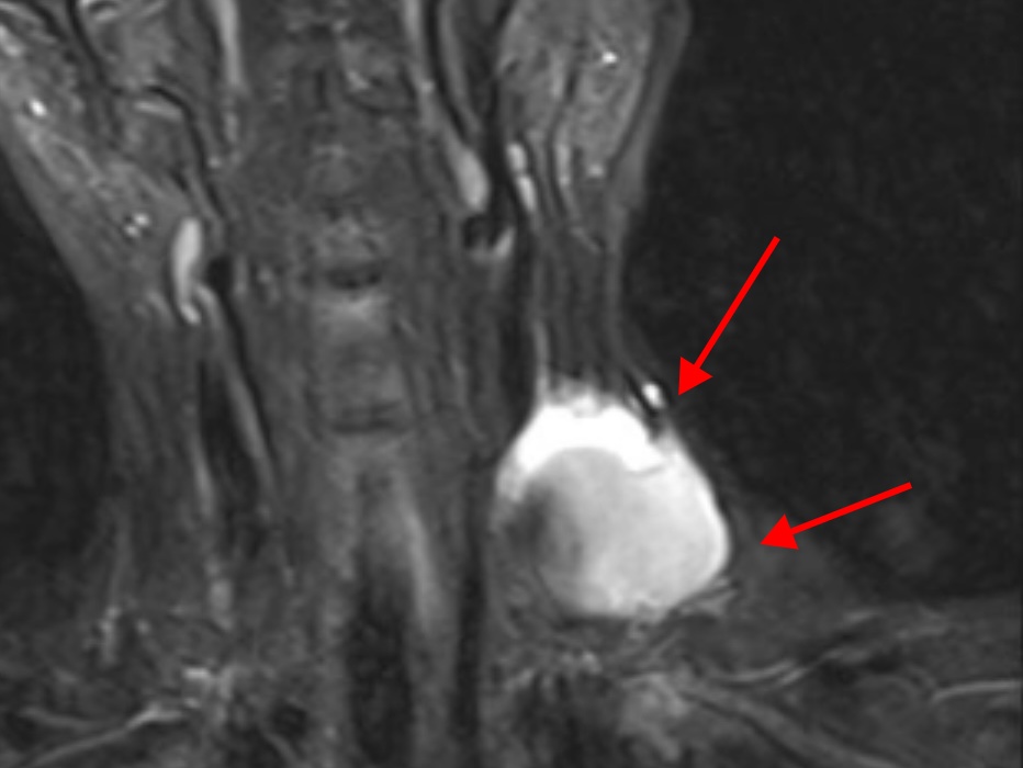
冯医生表示,文女士的静脉瘤体巨大,最大直径有7cm,一旦破裂会有生命危险;同时,静脉瘤体中有大量血栓,瘤体破口长度约2cm,存在血栓脱落导致肺栓塞的风险;静脉瘤病史时间较长,局部有血栓性静脉炎表现,内部组织粘黏情况较重,如何精准剥离黏连组织,切除肿块的同时重建颈部静脉是手术的关键,同时注意避免损伤胸导管,造成难治性淋巴漏。
确定了病情风险以及手术方案后,冯医生为文女士安排了血常规、生化、免疫、炎症、肿瘤等相关检查,排除一下其他疾病,结果提示文文血色素只有69g/L,属于中度贫血。为了保证手术的安全性,冯医生联系血液内科会诊,并进行了血液系统的相关检查,确定是缺铁性贫血。于是在术前备血及其他手术相关准备完善的前提下,对文女士在全麻下行球囊阻断下的左颈内静脉瘤切除+颈内静脉成形术。
手术过程中,冯医生首先游离左颈内静脉远端正常段并悬吊带悬吊备用,直视下穿刺左颈内静脉并引入6F短鞘,导入10mm球囊对左颈内静脉近心端进行球囊阻断。在病变血管近、远端同时阻断条件下,对颈内静脉瘤进行解剖,打开瘤腔,找到破口后予以缝合,同时清除瘤腔内血栓。
一小时后手术顺利结束,术中出血仅为100ml。术后血管外科护理团队针对颈部血管手术展开针对性护理。通过密切监测生命体征,颈部切口周围清洁护理,观察颈部神经损伤后并发症发生情况以及伤口引流量,及时与医生做病情交流,保证了患者的术后安全。最终通过医护团队的精心治疗与护理,患者顺利度过了术后的危险期,并于3天后顺利出院。

外力导致的血管内膜损伤是颈部静脉损伤最为常见的原因,文女士的病因就是如此。发现肿物的前一天晚上,因为文女士的颈椎难受,加上过年期间忙前忙后特别累,文女士就去按摩了一会儿,可能因为按摩的手法和力度没把握好,从而导致了颈内静脉的病变。
冯医生介绍道,颈部在人体结构中承担着至关重要的作用,它连接着头部和身体,支撑着头颅,同时还是呼吸、循环和消化等重要器官的通道。文女士病变的颈静脉部分,是人体头部血液回流心脏的通路,主要作用为调节血管系统容量。如果颈部受到外力打击、牵拉或扭转,可能会导致颈部动脉或静脉的破裂或撕裂,从而导致严重的出血、休克以及脑梗等并发症。
按摩颈部有风险
以下事项需注意
1
当颈部出现异常不适,不能单纯地以为是劳累所致,要尽早寻找正规医院明确原因,排除不宜推拿按摩的疾患后,再进行推拿按摩。
2
谨慎进行颈部按摩,尽量去正规医疗机构进行按摩,操作者不仅要有熟练、准确的推拿手法,还要对风险有一定的认知,绝对禁止使用强力、粗暴的推拿手法。
3
按摩推拿治疗次数不宜过多,过度推拿按摩可以加速颈椎退变,导致病情加重。
4
推拿按摩时,应选好体位, 被按摩者应处于完全放松的状态。
5
按摩时避免过强用力和大幅度旋转头颅;按摩还应避开颈部血管走行区域。
6
一旦怀疑颈部血管损伤,及时前往医院就诊。
瑞金医院普外科血管外科

瑞金医院普外科血管外科亚专业,在冯家烜副主任医师的带领下,在处理常见疾病的基础上,对各种血管外科急危重症进行腔内微创及开放手术等全面治疗和研究,临床经验丰富。临床擅长各类血管疾病的微创诊治,特别在危重疑难主动脉疾病、内脏动脉疾病、老年代谢病所致动脉硬化闭塞症、静脉血栓栓塞症、遗传性血管疾病的综合诊治和快速康复等方面形成鲜明特色。
门诊时间
周二上午,瑞金医院总院
血管外科专科门诊
周一上午,瑞金医院嘉定院区
血管外科专科门诊