
UBA1基因检测在成人自身炎症性疾病中的应用
第一完成人: 杨程德
第二完成人:滕佳临 林 琳
第三完成人:石慧 池慧慧
多种奇怪症状下的“真凶”
过去四年,闫先生被一种“怪病”困扰着:他反复出现全身皮疹、眼炎和多部位肿痛,伴不明原因的发热。到当地医院检查,炎症指标显著升高、大细胞贫血、淋巴细胞减少。一开始,通过抗感染治疗,闫先生症状有了短暂好转,谁知,没过多久,病情又发作了,反反复复,需要长期服用中大剂量激素才能控制,激素一旦减量就复发。这到底是什么病?闫先生辗转了多家医院,始终没有明确诊断。更揪心的是,随着病情逐渐进展,他还出现了肺部炎症,高热不退。迷茫的闫先生慕名来到瑞金医院风湿免疫科,希望在这里能找到转机。

风湿免疫科经过评估,发现闫先生的症状与VEXAS综合征相符。终于找到了病因,闫先生悬着的心落地了。
VEXAS综合征
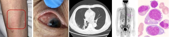
在2020年12月,Beck[1]等人发现了一种与UBA1基因突变相关的自身炎症性疾病,被命名为VEXAS(空泡、E1酶、X-连锁、自身炎症、体细胞)综合征。这是一种严重的进行性疾病,通常在中老年期发病,常伴有发热,并可能累及皮肤、软骨、肺、血管等多个器官,合并血液系统疾病如巨幼细胞贫血、血小板减少症、静脉血栓、血液系统恶性肿瘤等(见下图)。临床上,VEXAS 综合征表现复杂,容易被误诊或误治。

VEXAS 综合征的临床表现(图源:如图示)
闫先生接受了UBA1基因的检测,结果确认携带UBA1基因的致病突变(c.121A>G:p.M41V)。经过明确诊断,他接受了激素联合靶向药物治疗,效果很好,全身炎症得到了控制,目前激素正在逐渐减量。
UBA1致病位点的检测
VEXAS综合征临床表现复杂多变,目前国内对该疾病认识十分有限,基因检测在VEXAS综合征的诊断和治疗中扮演着至关重要的角色。通过精确地识别UBA1基因的体细胞突变,医生能够确认VEXAS综合征的诊断,并为患者提供更加个性化和针对性的治疗方案。然而,目前对UBA1基因的检测尚未普及,全外显子测序耗时长、价格昂贵,本项目通过经典的Sanger测序对已知致病位点直接测序,减轻患者的经济负担,提高疑似患者的诊断效率。

瑞金医院风湿免疫科与检验科合作,推动了UBA1致病位点的检测,以经济有效的方式提高了VEXAS综合征的诊治水平。目前,风湿免疫科团队已经在可疑患者中积极开展UBA1基因检测,至今已成功诊治了5名VEXAS患者。这一成果不仅有助于提高对VEXAS综合征的认识和诊断水平,也为患者的治疗和管理提供了重要依据。
[1] D. B. Beck, M. A. Ferrada, K. A. Sikora, A. K. Ombrello, J. C. Collins, W. Pei et al. Somatic Mutations in UBA1 and Severe Adult-Onset Autoinflammatory Disease. N Engl J Med, 2020;383:2628-38.
杨程德 主任医师
专家门诊:
周一上午、周三上午、周四下午
滕佳临 主任医师
专家门诊:
周二下午、周四上午、周五上午
石慧 副主任医师
专家门诊:
周一、周二、周四、周日下午、周三上午
风湿免疫科 专病门诊:
周一至周六 全天
(向上滑动查看)
欢迎转发点赞
素材丨池慧慧 戴宁祺
编辑丨祁洁