
前言

刷牙可以清洁口腔,预防蛀牙,但是不正确的刷牙习惯反而会损害牙齿,导致牙齿疾病。
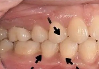
“楔状缺损”是牙齿颈部经过缓慢磨耗而形成的缺损,呈“V”状,由于它外形酷似木匠用的楔子,因此称为“楔状缺损”。多见于前牙或双尖牙的唇面,以中老年患者居多。
楔状缺损较浅时可无症状,较深时可表现为冷、热刺激痛,随病情发展还可出现自发痛,也有些患者由于进程缓慢、痛阈较高,可直至露髓而无明显痛觉。


楔状缺损还可伴有牙龈退缩,并可引起牙髓病、尖周病,严重者可导致牙冠折断。

今天就来和大家聊聊造成楔状缺损的常见原因和补救方法
一、形成原因

1. 牙齿的颈部硬组织牙釉质和牙骨质的交接部分,结构比较薄弱易被磨损, 此处牙龈也容易发生炎症或萎缩导致牙骨质暴露。

2. 酸的作用:龈沟内的酸性分泌物,唾液pH值偏低、酸性食物、胃病返酸、接触酸时可能使牙齿硬组织脱钙溶解。

3. 最常见的原因是牙刷毛过硬,刷牙方法不正确,经常用力横刷牙造成的,天长日久在牙颈部就形成小的缺口,这与俗话所说的“水滴石穿”、“绳锯木断”的道理一样。
临床上看,牙颈部楔状缺损更多是位于上下颌口角区域的牙齿,这是因为这些牙处于牙列拐角处,刷牙时受到的力也是最大的。

4. 过大咬合力的作用:近来有研究表明,当牙齿承受过大咬合力时,牙齿弯曲,支点位于牙颈部,颊侧牙颈部为应力集中区域,这造成了牙体组织的疲劳,使牙体硬组织断裂产生裂纹。


二、楔状缺损该如何治疗?

1. 对于组织缺损较少且无酸痛症状者,不需要特殊处理。
2. 有过敏症状的可使用抗过敏牙膏或脱敏治疗减轻症状。患者需要更改错误的刷牙方式,《中国居民口腔健康指南》提倡使用水平颤动法刷牙,并选用合适的牙刷和磨料较细的牙膏。
3. 对于缺损较重者,选用补牙材料将楔状缺损填补,以防缺损继续发展。
4. 对于重度缺损已引起牙髓炎、根尖周炎的患者,要及时进行根管治疗,并建议在治疗完成后行桩冠修复,减少牙齿折裂风险。

三、预防为主,试试巴氏刷牙法

切记:刷牙手法比刷牙工具更重要!
a. 选用软毛刷头
b. 刷头与牙长轴45度角倾斜
c. 力道轻柔,每次短距离的水平颤动
d. 认真刷够3分钟!
第一步:

第二步:

第三步:

第四步:

第五步:

第六步:

