72岁的老沈从去年夏天开始,胃口就不太好,吃完饭总感觉冒酸水,腹胀,有时刚吃下去的食物就吐出来,慢慢地还会伴有头晕、心慌的症状,上腹部也开始疼痛。家人连忙带他到附近医院做胃镜检查,没查出原因,他的症状却越来越严重,人日渐消瘦,嘴唇也没了血色,还偶有黑便情况。到底是什么毛病?辗转几个医院后,老沈来到了瑞金医院,胃肠外科刘文韬副主任医师接诊了他。

﹀
﹀
﹀
无法进食、暴瘦10公斤
背后的原因找到了
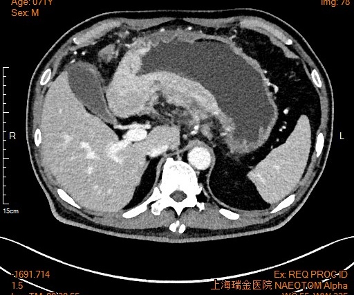
“一吃东西肚子就胀,只能喝点水,最近一个月体重下降了10kg。”见到刘文韬医生时,老沈状态极差。仔细了解情况后,刘医生判断“还是胃部有问题”。果然复查胃镜后情况不妙:胃体-胃窦中部起可见黏膜充血水肿,自发性渗血,有一巨大增生性病变,堵塞了胃腔,整个胃都变形了。病理显示为低分化腺癌,入院后更详细的检查提示老沈已经出现了腹膜、腹膜后淋巴结转移,这种晚期胃癌,立刻做手术可能无法根治。
暂时不手术不等于放弃治疗。“患者除了胃部肿瘤,还存在严重的贫血,血红蛋白只有正常人的一半,营养状态极差。他还是稀少的Rh阴性‘熊猫血’。我们要先给予支持治疗,解决这些问题,再着手肿瘤治疗。”刘文韬医生思路清晰,立刻联系临床输血科,从中心血站调来珍贵的血液进行输血。同时,请消化内科何相宜医生在胃镜下放置了鼻空肠营养管,建立“狭窄”的通道给老沈进行肠内营养支持,解决了他无法进食的问题。所谓“磨刀不误砍柴工”,经过支持治疗后老沈营养状况转好,为后续成功治疗奠定了基础。
精准评估、联合会诊
个体化的最优治疗方案
任何一个肿瘤的治疗方案,都是基于全面评估的基础上,而在瑞金医院,肿瘤治疗从来都不是“统一药方”,医生会根据不同患者、不同病情制定个体化方案。老沈也是这样,由胃肠外科、肿瘤科、放疗科、病理科等多学科会诊提上日程。专家们反复琢磨老沈的检查报告,精准评估了肿瘤的侵犯程度,经过综合讨论,考虑到老沈已无法口服药物,决定先为他实行个性化治疗策略——单纯静脉化疗联合免疫治疗的方案,待病灶缩小达到降期之后,再做手术根除病灶。
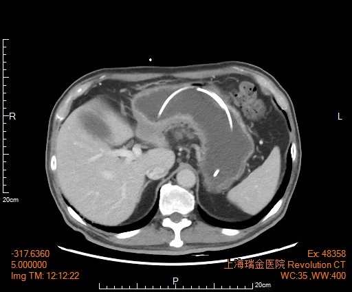
经过3个周期化疗,影像报告显示,老沈肿瘤体积明显缩小,原本存在的转移灶全都消失。营养状况也明显好转,血红蛋白恢复了正常。刘文韬医生团队为老沈做了根治性胃癌切除手术,他很快可以正常饮食,出院回家了。更令人欣喜的是,病理报告提示,癌细胞消失了!显微镜下找不到一点癌细胞的残留。


前后对比肿瘤变化
“刚确诊时万念俱灰,从营养状况差、严重贫血的‘等死’状态,到几个月后‘起死回生’,瑞金医院给了我重生的机会。”老沈感慨万千。而像老沈这样原本已经没法开刀的胃癌病人,经过了一段时间治疗后再进行手术,并达到良好效果的病人,在瑞金医院并不罕见。
“胃癌肿瘤,不是简单的开一刀就结束了。特别是中晚期、肿瘤比较大或者多发转移的病人,往往已成为全身性疾病。我们要想办法做根治性治疗,提高病人术后的生活质量。”刘文韬医生解释道,通过转化治疗的理念与临床实践,相当一部分晚期胃癌患者的转移病灶可以被有效控制,把大肿瘤转化为小肿瘤,把全身性疾病转化为局部性问题,再通过手术根治,延长患者的生存期。同时,刘文韬医生提醒,胃肠道肿瘤是可防可治的,建议大家定期做胃镜检查,早发现早治疗。
胃肠外科
朱正纲 主任医师
专家门诊:周一下午、周四下午
李琛 主任医师
专家门诊:周二下午、周四上午
刘文韬 副主任医师
专家门诊:周四全天
倪震天 医生
胃癌手术治疗专病门诊:周三下午
消化内科
何相宜 副主任医师
专家门诊:周三下午、周五上午
欢迎转发点赞
文、编丨祁洁