肺结节手术后,不论患者还是医生,最关心的就是术后病理了,但拿到病理报告后,很多患者无从解读,今天新华君就为大家介绍下如何看懂肺小结节术后病理报告,供大家参考。

良性:良性病变包括肉芽肿性炎,错构瘤,肺硬化性血管瘤(硬化性肺泡细胞瘤),轻度异性增生,炎细胞浸润等。
恶性:恶性病变包括腺癌,鳞癌,小细胞癌,大细胞癌,神经内分泌癌,未分化癌、肉瘤等。
非典型腺瘤样增生(AAH):癌前病变,手术后正常生活工作,属于“良”转“恶”的刚刚启动尚未变成恶性的阶段。
原位癌(AIS):最早期癌,手术后正常生活工作,属于“良”转“恶”后的最早期,5年内复发率为0,5年存活率100%。
微小浸润癌(MIA) :早早期癌,手术后正常生活工作,属于“良”转“恶”后的早早期,虽然浸润程度略大于原位癌,但预后和原位癌几乎一完全致。
浸润性腺癌(IAC) :含浸润性非粘液腺癌(INMA)和浸润性粘液腺癌(IMA)两大类。
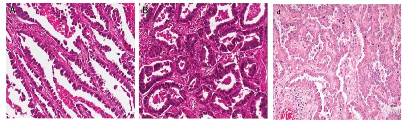
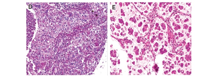
浸润性非粘液腺癌(INMA): 包括5种病理亚型,贴壁亚型最温和,预后非常好;微乳头亚型和实体亚型较凶狠,淋巴结转移可能大;腺泡亚型和乳头亚型居中。
浸润性粘液腺癌(IMA):含粘液成分,恶性程度上升。

从左至右:贴壁、腺泡、乳头

左:实体;右:微乳头
绝大多数情况下,如肿瘤小于2厘米且没有淋巴结转移及胸膜侵犯,仍为早期肺癌,预后良好,无需术后化疗。如肿瘤大于2厘米,要结合病理亚型、手术切除范围、是否有淋巴结节转移和脏层胸膜侵犯,综合评估是否需要辅助治疗。
有纵隔淋巴结转移或脏层胸膜侵犯提示手术后需辅助治疗,具体根据病情和患者全身情况定。
分化程度方面预后从好到差,高分化>中分化>低分化。
脏层胸膜侵犯,胸膜癌结节等提示肿瘤恶性恶性程度高,预后不良,需要术后化疗可能大。病理报告里出现的复杂腺体、筛状结构,为高危因素。
作 者
新华医院心胸外科 王磊
科室名片
门诊预约请点击链接
☞:心胸外科门诊