
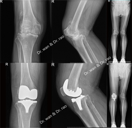
王先生今年84岁,双侧膝关节疼痛难忍10余年。其妻子十年前曾在外院做过膝关节置换手术,由于术后效果并不理想,导致王先生对关节置换手术顾虑重重,甚至对关节置换手术产生心理恐惧。近年来,王先生自觉双侧膝关节疼痛加重,无法下蹲,上下楼梯困难,平地行走疼痛加剧,休息后疼痛无法完全缓解,诊断为骨关节炎膝外翻畸形。虽然王先生有明确的关节置换手术指征,但由于他对关节置换的恐惧心理,只于一年前在外院行膝关节镜手术治疗,术后关节疼痛无法缓解,严重影响日常生活。
近日,王先生终于被女儿说服,在女儿的陪同下,慕名来到同济大学附属同济医院骨科就诊并住院治疗。在骨科关节外科副主任饶志涛的带领下,经过副主任医师万大千周密的检查和关节外科全科病例分析,根据骨科学科带头人程黎明教授《运动骨关节病学》中对骨性膝关节炎的分型介绍,确诊该患者已出现膝关节畸形——膝外翻情况。因此,骨科团队为患者量身定制了手术方案,决定为其进行全膝关节置换术治疗。手术非常顺利,下肢力线和软组织平衡完美恢复,患者术后第一日疼痛明显缓解,即刻下地行走。王先生对关节置换手术疗效和快速康复非常满意,恐惧心里也因此烟消云散。

膝外翻(valgus knee)是退化性骨关节炎中相对少见的下肢畸形,约占10%。它不仅是一种姿态上的畸形,而且也属于一种功能性畸形。表现为双下肢自然伸直或站立时,两侧膝关节向内侧靠拢,而两侧脚跟必须向外分开。双侧发病者称为X形腿,单侧发病者称为K形腿。
正常的膝关节,压力是平均分布在关节面上的。而X型腿的人,由于膝关节外翻,身体重量就过多集中于膝关节外侧关节面上,使关节外侧所受的应力增大,对侧相对减少,同时下肢力线不良,髌骨及股骨之间的摩擦增多,易导致髌骨软化。过度的压力和摩擦力,会导致膝关节外侧软骨面磨损,胫骨平台塌陷,继发骨性关节炎。随着年龄增长,就容易出现关节痛,影响到正常的行走活动。膝外翻的常见原因有三种,一种是小儿的佝偻病,一种是先天的遗传,另外还有一少部分是因为软骨发育障碍、外伤、骨折等引起的后遗症。这种腿部的畸形不仅影响体形与健美,对于人体健康也有较大的影响,对于这种腿形进行矫正,不仅能够增进体形的健美,还可以改善膝关节应力不平衡的状态,缓解患者的病痛。
同济大学附属同济医院骨科是同济大学985、211工程重点建设学科,国家临床重点专科,上海市重中之重重点建设学科,上海市临床重点专科,上海市重中之重脊柱脊髓疾病研究中心,上海市一流学科B类建设计划主干学科,国家药物临床试验机构,国家住院医师与专科医师规范化培训基地,同济大学硕士、博士学位点,医院重点建设学科,承接了沪西北地区300万人口重要的医疗任务。作为上海市普陀区唯一一所三甲综合性医院,同济医院骨科建有脊柱外科、足踝外科、 关节外科以及创伤骨科4个亚专科,拥有脊柱脊髓损伤再生修复教育部重点实验室、国家科技部重点领域创新团队,为广大人民的健康事业保驾护航。

程黎明
医学博士,二级主任医师,博士生导师
同济大学附属同济医院骨科主任、骨科脊柱外科主任
同济大学长聘特聘教授、医学与生命学部副主任
专家门诊:周一下午
特需门诊:周三上午(需预约)
国家重点研发计划首席科学家、国家科技部重点领域创新团队负责人、脊柱脊髓损伤再生修复教育部重点实验室主任。担任国际神经修复学会(IANR)理事、中国研究型医院神经转化研究专委会副主任委员、中国康复医学会骨质疏松预防与康复专业委员会副主任委员、上海市医师协会骨科分会副会长。发表Cell、Nature Medicine、Advanced Materials、Advanced Science等SCI论文百余篇。先后牵头获中国康复医学会科学技术奖一等奖、华夏医学科技奖一等奖、上海市自然科学奖一等奖、上海市科技进步奖一等奖、上海医学科技奖一等奖、上海康复医学科技奖一等奖、上海医学科技奖成果推广奖等省部级奖励10余项。入选国家“万人计划”科技创新领军人才、百千万人才工程国家级人选、上海市领军人才、上海市优秀学科带头人等人才计划。获国家有突出贡献中青年专家、国家特殊津贴、教育部新世纪优秀人才、上海医学发展杰出贡献奖、上海市先进工作者、上海市科技精英、上海市领军人才等荣誉。

饶志涛
骨科关节外科副主任
副主任医师 博士
专家门诊:周二全天、周五上午
特需门诊:周三上午
美国哈佛大学麻省总医院骨科访问学者,上海市浦江人才。中国医师协会骨科医师分会保膝学组委员;中华医学会骨科分会微创外科学组青年委员;上海市医学会骨科分会关节学组委员;上海市医学会运动医学分会青年委员;上海市医学会中西结合学会关节病学组委员。学术方向为膝关节慢性不稳及智能化修复重建的机制及应用研究。主持及参与多项省部级科研项目,发表学术论文30余篇。参编专著及专家共识6部,包括英文专著《The adult knee》。
专注于膝、髋、肩、肘等关节疾病及运动创伤诊治,擅长人工关节置换手术、关节镜微创修复重建手术等。

万大千
骨科关节外科副主任医师
专家门诊:周一、周四上午
师从我国骨科学泰斗、关节外科创始人戴尅戎院士。上海市超级博士后,同济大学医学博士后,美国加州大学伯克利分校生物医学工程访问学者,中华医学会数字医学分会青年委员,教育部脊柱与脊髓损伤重点实验室研究员。
擅长肩周炎、冻结肩、髋膝关节痛、半月板损伤,交叉韧带损伤及肩膝关节积液的诊断及治疗(保守及手术治疗)。
作者:同济大学附属同济医院
编辑:陆佳妮
点击下方了解更多
普陀区举行周志高书法艺术藏书捐赠仪式
持续推动主题教育成果转化为“三服务”工作成效!
普陀区委常委会第113次会议召开
普陀这个“双业红”实训工作室启用
区领导实地调研“15分钟社区生活圈”工作推进情况