近日,话题#女子硬扛流感10天两个肺都白了#登上微博热搜,引发网友关注。

女子患流感后硬扛10多天
江苏51岁的陈女士近日患上流感,她没去医院看病,而是在家硬扛了10多天。后来感觉身体吃不消,陈女士去社区医院就诊时,突然倒地昏迷。
经CT检查,陈女士肺部感染多种病毒,已发展成重症肺炎,肺功能基本丧失,严重呼吸衰竭,随时有生命危险。

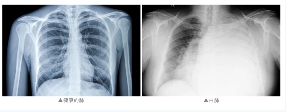
“两个肺都是白的,发现的时候是甲流,而且是混合感染。”江都人民医院重症医学科主任陈齐红介绍,陈女士患有糖尿病多年,免疫力偏低,得了流感后硬扛,大大增加了肺部的感染风险,最终导致“白肺”。

通常来说,“白肺”指急性呼吸窘迫综合征,主要发生在重症感染时,是肺组织炎症渗出等病变导致的一种影像学表现,“白肺”患者常常病情较为严重,预后较差。

得流感后会发展成肺炎吗?
医生表示,无论是甲流还是乙流,严重的病人都可能出现比如肺炎、心肌炎或神经系统的并发症。由于大多数病人就诊较早,因此发生合并肺炎的病人并不多,比例在10%以下。
甲流和乙流会同时感染吗?
甲流和乙流是流感的两种亚型,二者存在一定差异,因此感染甲流并不能对乙流产生完全的交叉免疫。感染甲流或乙流后,如果患者体质相对弱,依然有可能感染另一种亚型的流感病毒。

乙流比甲流更严重吗?
乙流和甲流在临床症状上没有太大的区别,均表现为发热、头痛、关节肌肉痛等。有的病人可能出现咽痛、咳嗽、胸闷等症状。

如果感冒了,有这些症状拖不得!
北京大学第一医院感染科主任王贵强表示,流感治疗一般以对症支持治疗为主,如果出现持续高热不退、气短、基础病加重等情形,应及时到医院就医。特别是有基础病的老年人,建议当出现发热、咳嗽、头痛、乏力症状时应及时到医院就医,如被诊断为流感,及早用抗病毒药避免病情进一步恶化,导致基础病的加重。
广州医科大学附属市八医院门诊部主任医师胡荣欣提醒,出现以下情况请赶紧就医:
1. 感冒三天以上,吃了家常抗感冒药物症状不缓解反而加重,包括咳嗽、咳痰、痰中带血等;
2. 老人和孩子,出现高热、意识淡漠等;
3. 青壮年出现胸闷心慌气急、乏力尿少伴脸肿,需要警惕病毒性心肌炎等。
可能你还想看
▶静安这条潮流先锋路线,好逛到不可思议!|静安宝藏店铺新年City Walk |
▶《繁花》爆火!侬对“繁花里”,又了解多少? |
▶好消息!威海路街区即将“变身”!让City Walk更有“静安腔调” |
▶“小而美”共享空间的背后,是多元力量的同心奔赴,更有居民自治力的迸发 |