8月11日,丘北县人民医院迎来了由华山医院心内科朱志栋副主任医师、王逸明主治医师、顾文韬主治医师组成的访问团队。五年前,这支队伍就和丘北县人民医院结下了不解之缘。
朱志栋医生作为华山医院第5批援滇医疗队的队员,曾在丘北工作半年,这次带领小队回访,也是计划与在丘北支援的心内科熊楠青医生一起,开展多台复杂介入手术示教与专业理论授课。
其实,丘北县人民医院DSA手术室的建成与华山医院颇有渊源。当年,朱志栋医生在此支援时就提交申请报告,参与了手术室选址和图纸绘制工作,这次回访也了却了一桩心愿。
团队一下火车就直奔医院,受到了多位院领导和心内科马克春主任的热情欢迎。大家顾不上旅途劳顿,马上披上白大衣进入病房诊视患者,分析现有资料、制订手术方案,与患者、家属充分沟通手术细节。

两家医院的医生
一同诊查患者(左)、开展术前讨论(右)
12日早上,华山医院心内科团队和丘北县人民医院心内科共同开展冠脉手术。手术由朱志栋医生主刀,王逸明医生和丘北县人民医院心内科陈伟明医生辅助。朱医生师从于华山医院心内科施海明教授、罗心平教授以及葛雷教授,主攻冠心病的介入治疗,擅长攻克复杂冠脉病变,高危病变以及慢性全闭塞病变(CTO)等。此刻,他们面对的是曾经被称为“介入禁忌”的主干病变,团队沉着应战、密切配合,在血管内超声辅助下有条不紊地完成了两例手术,同时实现了丘北县人民医院冠脉介入中主干支架和血管内超声两项“0”的突破。“五年前,我去了华山医院心内科学习心脏介入技术,并回到家乡开展了相关工作,为的是造福一方人民。”陈伟明医生在术后说。

冠脉手术团队通过血管内
超声辅助实施左主干支架植入
熊楠青医生带领顾文韬医生和丘北县人民医院心内科的胡锦涛医生开展心脏电生理手术。熊医生是华山医院第14批援滇医疗队成员,曾跟随华山医院心内科罗心平、李剑教授学习,并在美国加州大学旧金山分校进修心脏电生理,擅长多种复杂心律失常的诊断、标测和导管消融等。此次手术,团队使用我国自主研发的三维标测系统,为两例室上性心动过速的患者实施了电生理检查和射频消融,改善了患者的症状。

电生理团队顺利完成
室上性心动过速的射频消融根治术

华山医院手术团队向
丘北县人民医院心内科马克春主任带领的手术团队赠书
随后,华山医院团队对各台手术细节做了充分讲解和讨论,并带来了由华山心内科编写的《心脏解剖与心电图》一书。
傍晚时分,急诊警报突然响起,医院有两位心肌梗死患者。在朱志栋医生的指导下,马彦成医生、陈伟明医生和胡锦涛医生为患者顺利实施了急性心肌梗死的紧急血管开通手术。

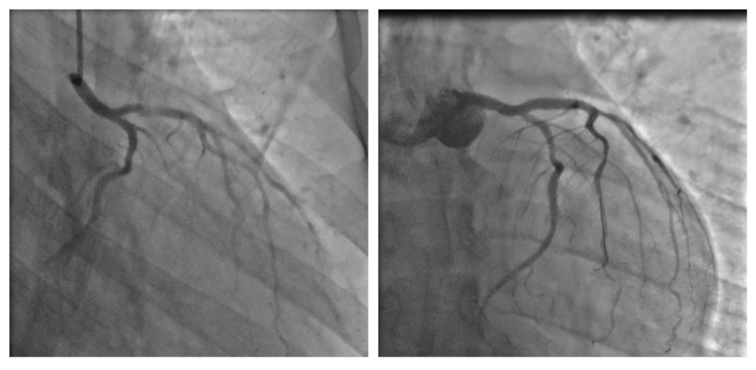
急性前壁心梗患者
左前降支血栓形成 PCI顺利开通血管
此次交流活动的顺利开展,得益于两院心内科和对口支援医疗队的有效配合,为丘北县人民医院心内科开展更高难度、更大挑战和更多种类的手术积累了经验,为当地百姓带来了实实在在的福利。
文丨第14批援滇医疗队 心内科 熊楠青
喜欢就奖励一个“”和“在看”呗