黄先生因大面积脑梗入院,神志恍惚,配合度低,肢体偏瘫,CT显示右侧额颞顶叶及基底节区出血性脑梗死(脑出血伴脑梗死)。入院一周后,患者突发出现右上腹疼痛,发热,伴恶心呕吐,CT检查提示:急性化脓性胆囊炎。医师给予抗感染、对症治疗后,患者腹痛症状加重,无好转。经多学科会诊后,考虑患者处于出血性脑梗死急性期,一般情况差,手术风险极大,最终建议保守治疗。经过3天的保守治疗,患者病情进一步加重。

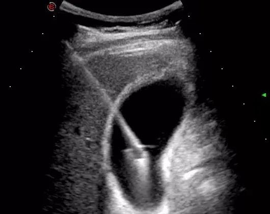
肝胆外科中心王华副主任医师收到会诊需求后,发现患者有腹膜炎刺激征、寒战高热,白细胞明显升高,胆囊肿大张力高、濒临坏疽穿孔。对于急性重症脑梗患者,一旦胆囊穿孔会危及生命。考虑患者重症胆囊炎,存在急性脑梗、全身情况差,无法耐受手术治疗,王华医师当即决定予以行经皮经肝胆囊穿刺引流术。穿刺时发现胆汁呈黑色,喷射状泄出,可见胆囊压力极高,如不穿刺,随时有穿孔的风险。穿刺后第二天患者体温恢复正常,腹部平坦柔软,白细胞也明显下降。
经皮经肝胆囊穿刺引流术是一种微创治疗手段,能够迅速达到胆囊减压的作用,主要用于治疗急性化脓性胆囊炎、急性重症胆囊炎以及胆总管梗阻合并胆囊肿大者,尤其适用年老体弱患者,或合并严重疾病不能耐受手术的患者。
图文 | 肝胆外科中心
编辑| 赵思思 王北墨
校审 | 谢壮丽