“叮铃铃……“一个平静的午后,电话响了。
“您好!我是呼吸科的医生,我们有一例肺结节的患者需要活检。“
“好的,请告知我住院号,……“
一个平常不过的介入申请,一个习以为常的常态化沟通。
对超声有所了解又不那么熟悉的人可能会大吃一惊!肺?超声?超声引导下活检听说过,肺结节也能超声引导下穿刺了吗?
以往被视为超声禁区的肺,现在也可能成为可视检查中的一部分,且外周贴壁型肿块的超声引导下肺结节穿刺也成为常规开展项目之一了。

本次要接受超声引导下肺结节活检的是一位66岁的男性患者朱某,他于2018年12月体检发现“右肺结节”。后经过CT多次随访,病情发展。于2021年4月CT诊断考虑右肺下叶肺癌伴右侧肺门区及纵隔淋巴结转移可能大。通过胸水涂片、右侧锁骨上淋巴结活检、气管镜刷片确诊肺腺癌伴转移。患者后行双靶向治疗,评估为维持PR(病灶缓慢增大)。2022年6月为寻求进一步评估入院治疗。

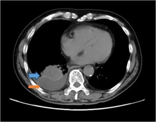
患者本次入院CT检查示右肺下叶恶性肿瘤(蓝色箭头),较2022年3月略增大;右侧胸腔积液(橙色箭头)。
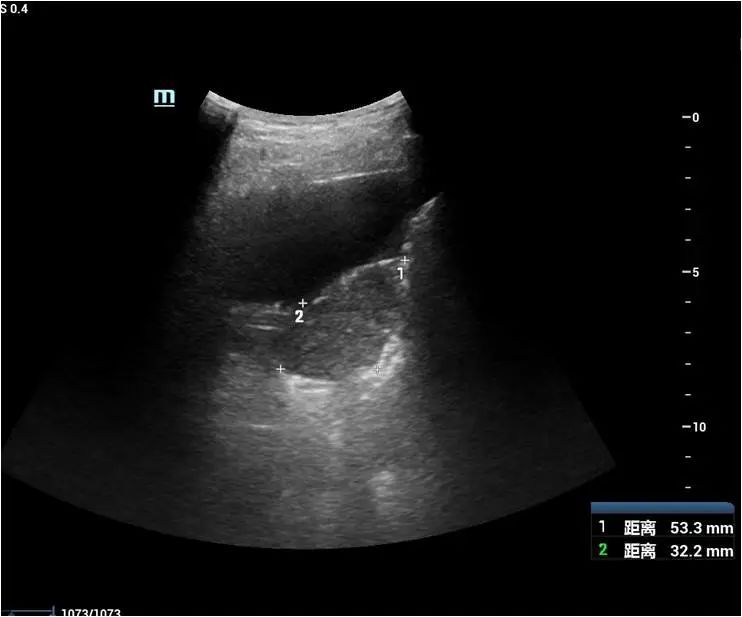
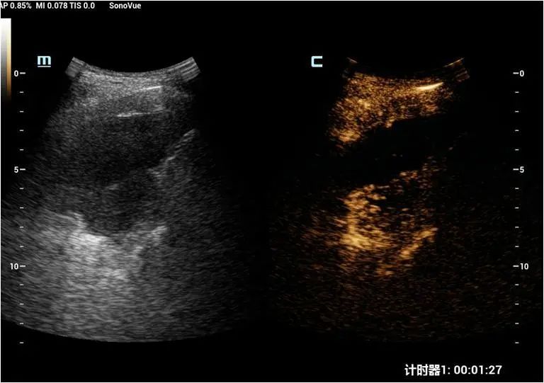
超声医学科接诊该患者后先行超声检查+超声造影评估,于右侧背部肋间检查发现患者右肺下叶低回声肿块,大小约53×32mm,可见斑片状强回声及无回声,CDFI:见血流信号。超声造影见该团块早于周围组织灌注,灌注不均匀,灌注峰值高于周围组织,内见少许无灌注区。


对于超声上显示如此清晰的肿块,那活检是否就没有问题了呢?
答案是否定的。
我们注意到肿块前方有较深的胸腔积液。右侧胸腔积液最深处可达7cm。它虽然帮助我们更好的显示了病灶,但也成为穿刺后压迫止血的障碍。
那还能活检吗?
超声医生灵活应对,和临床医生和患者充分沟通后,决定先行超声引导下胸腔置管引流,待胸水排除后再行肿块活检。虽然分了两步行动,却可以最大程度上保证患者的安全和活检的成功。
在患者签署了知情同意书后,我们即刻先帮患者进行了超声引导下胸腔置管引流,当日就引流出300ml血性液体。

第二天下午患者再次来到超声医学科复查,肿块前方的积液已基本排出,最深处仅8mm,达到活检条件。
在超声介入团队的娴熟操作下顺利进行了超声引导下肺结节穿刺活检术。

患者获得了病理诊断及免疫组化分型,顺利确定了下一阶段的治疗方案。
【超声引导下肺结节穿刺活检术简介】
肺癌作为最常见的恶性肿瘤之一,其发病率和死亡率均居首位。以往的诊断主要依靠胸片、CT、MR等影像学检查,而被认为检查禁区的超声如今也在肺结节的鉴别诊断中起到了重要作用。
肺结节为啥要穿刺?
有患者说:“我最怕去医院检查身体了”。其实怕的不是医院,而是检查结果的揭晓。事实上,以肺结节为例,随着影像技术的提高,1cm以下小结节的检出变得越来越普遍。那么,患者直面的第一个问题就是“这个结节好不好?”。单从影像学特征出发的准确诊断尚有困难,准确度并不能达到100%。若随访观察,患者心理压力骤增。“会不会癌变呀?”是患者问的最多的问题。若直接手术切除,对于很多患者来讲显然过于激进。毕竟良性的肺结节包括肺部的炎症、肉芽肿、淋巴结、水肿、灶性出血、纤维结节灶和良性肿瘤等,而最常见恶性的病变——肺癌占的比例很小。所以,医生们更建议通过微创的手段——穿刺活检来获得病理标本,以得到更为准确的诊断和病理分型,也可以在治疗过程中通过穿刺活检评估疗效,为下一步治疗方案的选择提供依据。

超声引导下外周型肺结节穿刺活检示意图
穿刺有什么危害?会不会出血气胸?
目前,超声引导下穿刺活检成为肺周围型结节的首选影像学确诊方法。近年来有大量文献报道显示超声和CT引导下经皮肺穿刺活检术成功率90-97.8%[1-2]。常见并发症为气胸、咯血、感染等。据一项648例患者的回顾性分析显示所有病例均成功进行了活检,11 名患者针对同一病变进行了第二次活检。咯血、症状性气胸和胸管插入率分别为8.0%、1.7%和0.9%。超声引导下的经皮穿刺活检是一种有效且安全的周围肺病变诊断方法[3]。绝大多数并发症在对症治疗后均可恢复。
穿刺会不会引起转移?
理论上癌细胞有延针道种植的可能性,但均为罕见报告。目前同轴定位鞘的使用使穿刺针在鞘内移动,减少了与组织接触的可能,进一步降低了因针道种植导致转移的可能性。
相比PET-CT,超声引导下穿刺有什么优势?
超声引导下肺穿刺活检术具有定位准确、方法简单、费用低廉、诊断准确率高,并且能实时超声监视确保安全穿刺及取材成功的优点。PET-CT有一定辐射剂量;对于鉴别小于8mm的肺结节良恶性没有明显的优势;有假阴性和假阳性的可能。
适应证及禁忌证
超声引导下肺穿刺活检术当然也不是万能的,适应证及禁忌证如下:
适应证
1. 外围肺肿块鉴别诊断困难者;
2. 原因不明的局限性病灶;
3. 不能手术或患者拒绝手术的肺癌,为明确组织类型便于选择治疗方案。
禁忌证
1. 患有出血性疾病或近期严重咯血者;
2. 严重肺气肿,心肺功能不全或肺动脉高压者;
3. 肺部病变可能是血管性疾患,如血管瘤或动静脉瘘等;
4. 剧烈咳嗽不能控制、不合作者;
5. 严重凝血功能障碍或活动性大咯血者。
超声引导下肺穿刺活检术是贴壁型周围型肺结节明确病理诊断首选的方法。但作为一种有创操作,不可避免的总有并发症发生的可能性。医生会尽一切可能尽量避免其发生,并在发生时及时进行对症处理。所以如果您选择进行有创检查时,请详细了解相关信息、理智决定,并在检查过程中给予医生充分的信任、全力配合,相信我们一定为患者的准确诊断和有效治疗共同努力、不懈奋斗!
【科室介入团队简介】
上海交通大学医学院附属同仁医院超声医学科在科主任的带领下,在全体同仁的不懈努力下,从超声诊断逐步向超声介入诊疗转型。目前超声介入组已形成由主任医师带队,副主任医师加高年资主治医师为主体,专科护士配合的专业介入团队。操作项目已涵盖九大板块,日常常规开展超声引导下浅表、腹部等多脏器组织肿块细针、空芯针活检,超声引导下胸腔、腹腔、心包置管引流,超声引导下胆囊置管、肝脓肿置管引流及超声引导下囊肿硬化治疗等微创诊疗项目,配合临床需求,为患者的疾病诊断和治疗提供更多、更好的服务。
【专家及专病门诊介绍】
超声介入专家门诊时间:陈曼 主任医师:每周五上午
唐蕾 副主任医师:每周二下午、每周三下午
超声介入专病门诊时间:周一到周五全天
参考文献:
[1]任柳琼,吕发勤,胡剑秋,陈祥慧,刘艳慧,王立波,温朝阳.超声引导下穿刺活检术对肺周围型结节的诊断价值[J].中国超声医学杂志,2017,33(04):296-299.
[2]郭瑞军,梁晓宁,于泽兴,张颖,徐利群,唐华,姜晓红,翟俊修.彩色多普勒超声引导自动穿刺活检在周围型肺肿块及胸膜病变中的应用[J].中国医学影像技术,2007,(03):441-443.
[3] Guo YQ, Liao XH, Li ZX, Chen YY, Wang SD, Wang JH, Liao XS, Luo Y. Ultrasound-Guided Percutaneous Needle Biopsy for Peripheral Pulmonary Lesions: Diagnostic Accuracy and Influencing Factors. Ultrasound Med Biol. 2018 May;44(5):1003-1011. doi: 10.1016/j.ultrasmedbio.2018.01.016. Epub 2018 Mar 8. PMID: 29525458.
供稿:唐 蕾
审稿:陈 曼
校审:戴 云